Bệnh sâu răng là bệnh mà nhiều người mắc phải phổ biến ở cả người lớn và trẻ em. Tuy nhiên, nhiều người mắc phải vẫn cố chấp không chịu đi khám và gây ra những biến chứng. Trong đó, hiện tượng sâu răng ăn vào tủy là nguy hiểm nhất. Khi bị ăn vào tủy thì bạn rất dễ mắc các bệnh nghiêm trọng về răng và cả sức khỏe. Vậy tại sao bạn lại bị sâu răng ăn vào tủy ? Những biến chứng nguy hiểm của việc này là gì ? Hãy cùng Nha khoa DrGreen tìm hiểu cụ thể trong bài viết này
Thế nào là bị sâu răng ăn vào tủy ?
Một chiếc răng gồm có: thân răng là phần bạn nhìn thấy trong miệng. Chân răng là phần ở trong xương hàm, bạn không nhìn thấy được. Đỉnh của mỗi chân răng, nơi mạch máu và thần kinh đi vào trong răng gọi là vùng chóp (cuống) răng.
Cấu tạo của thân răng gồm các lớp: lớp ngoài cùng là men răng có đặc điểm rất cứng. Lớp thứ 2 là ngà răng, mềm hơn men răng. Ở giữa răng là 1 buồng rỗng ở cả thân răng (buồng tủy) và chân răng (ống tủy). Trong đó chứa mạch máu, thần kinh của mỗi răng gọi là tủy răng. Tủy răng ở phần thân răng gọi là tủy buồng. Tủy răng ở phần chân răng gọi là tủy chân. Tổ chức cứng của răng gồm men và ngà răng.
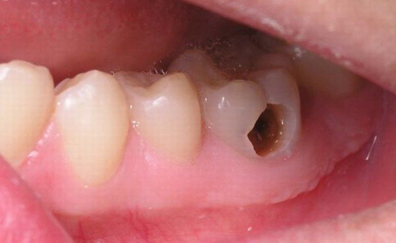
Sâu răng là tình trạng tổ chức cứng của răng bị tấn công. Sau đó chúng tiêu dần đi và tạo lỗ trên mặt răng. Nếu không được điều trị, tổ chức cứng của răng sẽ bị phá hủy nhiều hơn. Chúng ăn sâu vào tủy răng gây ra tình trạng sâu răng ăn vào tủy hay gọi là viêm tủy răng. Răng viêm tủy không được điều trị sẽ gây ra những biến chứng ảnh hưởng đến sức khỏe răng miệng và toàn thân.

Dấu hiệu của sâu răng vào tủy
Dấu hiệu bị răng sâu ăn vào tủy có sự khác nhau theo từng giai đoạn và mức độ nặng nhẹ.
Giai đoạn nhẹ – mới
Trong giai đoạn này, các dấu hiệu chưa quá rõ ràng. Đơn giản chỉ là bạn cảm thấy răng bị đau buốt khi ăn thức ăn quá nóng hoặc quá lạnh. Ngoài ra, có thể xuất hiện các cơn đau răng nhưng chỉ là thoáng qua. Đồng thời những cơn đau không quá nghiêm trọng nên bạn thường không để ý đến.
Giai đoạn răng sâu vào tủy
Ở giai đoạn này, dấu hiệu răng sâu đến tủy là rất rõ ràng. Lúc này bạn sẽ cảm thấy răng đau nhức thường xuyên hơn, mức độ đau cũng nghiêm trọng hơn. Đặc biệt là vào ban đêm. Các cơn đau răng diễn ra liên tục cả ngày và lan lên cả vùng đỉnh đầu, vùng thái dương. Điều này ảnh hưởng nghiêm trọng đến sinh hoạt hàng ngày, hoạt động ăn uống, làm việc, học tập,…
Giai đoạn viêm tủy nặng
Khi bị sâu răng ăn vào tủy nặng thì bạn có thể cảm thấy các cơn đau răng không còn nữa. Tuy nhiên, lúc này sẽ xuất hiện rất nhiều vấn đề về sức khỏe răng miệng. Ví dụ như vùng nướu xung quanh răng sâu bị viêm nhiễm, chảy máu và mủ. Lỗ sâu trên bề mặt răng lớn tạo điều kiện để thức ăn và vi khuẩn tích tụ, gây hơi thở có mùi. Trong một số trường hợp, răng bị lung lay, vỡ bể; mặt sưng,…

Những biến chứng của việc bị sâu răng ăn vào tủy
Sâu răng viêm tủy là giai đoạn nghiêm trọng cần điều trị ngay. Nếu không điều trị kịp thời có thể dẫn đến các biến chứng:
- Răng bị vỡ mẻ: Ở giai đoạn sâu răng nặng, tủy răng bị tổn thương nghiêm trọng sẽ dẫn đến tình trạng răng giòn dễ vỡ tạo nên những lỗ sâu lớn. Thức ăn sẽ nhét vào lỗ sâu này, nếu không được làm sạch sẽ gây ra tình trạng hôi miệng.
- Áp xe chóp răng: Khi răng bị vỡ chỉ còn chân răng thì vi khuẩn dễ tấn công nướu, lợi làm nướu và lợi bị viêm. Tình trạng này sẽ gây đau nhức, khó chịu cho người bệnh. Thậm chí còn làm sưng mặt trong một thời gian dài ảnh hưởng đến thẩm mỹ.
- Mất răng vĩnh viễn: Khi tủy bị tổn thương trong thời gian dài mà không được điều trị, tủy sẽ bị hoại tử. Tủy răng chết đồng nghĩa với việc răng không tiếp tục được nuôi dưỡng, dễ lung lay và mất văng vĩnh viễn.
- Ảnh hưởng răng bên cạnh: Khi một chiếc răng sâu không được điều trị kịp thời, vi khuẩn sẽ tấn công sang những chiếc răng khác khiến chúng bị sâu và viêm nhiễm.
- Nhiễm trùng: Khi răng sâu đến giai đoạn nặng, răng bị vỡ lớn mà không được điều trị kịp thời sẽ dẫn đến tình trạng nhiễm trùng. Nặng hơn có thể dẫn đến nhiễm trùng xương hàm xung quanh răng, khiến tiêu xương hàm.

Bị sâu răng ăn vào tủy thì chữa trị như thế nào?
Tùy vào tình trạng hiện tại của răng và những biến chứng do răng gây ra, bác sĩ sẽ có những kế hoạch điều trị khác nhau:
Trường hợp răng sâu vào tủy giai đoạn đầu
Nhiều người thắc mắc trong giai đoạn đầu, răng sâu vào tủy có hàn được không? Câu trả lời là có thể. Để thực hiện, bác sĩ sẽ gây tê mở buồng tủy, bơm rửa và làm sạch phần tủy nhiễm khuẩn. Sau đó, bác sĩ sẽ thực hiện hàn trám bít ống tủy bằng vật liệu nha khoa chuyên dụng nhằm ngăn ngừa vi khuẩn gây viêm nhiễm.
Với trường hợp sâu răng vào tủy giai đoạn đầu, bác sĩ sẽ thực hiện mở buồng tủ. Sau đó làm sạch phần tủy nhiễm khuẩn, trám bít lại bằng vật liệu nha khoa chuyên dụng.
Trường hợp nhiễm trùng chóp răng do răng sâu vào tủy
Bác sĩ có thể áp dụng cách chữa sâu răng ăn vào tủy bằng cách tiểu phẫu cắt cuống răng. Theo đó, bác sĩ sẽ gây tê và tiến hành mở lợi. Loại bỏ xương để lộ phần chóp bị nhiễm trùng và ổ viêm ở chân răng. Tiếp đến, bác sĩ hàn kín phần chân răng, lấp đầy lỗ hổng chân răng. Sau đó tiến hành khâu kín niêm mạc đã mở ra ban đầu.
Trường hợp răng sâu chết tủy
Với trường hợp răng bị sâu chết tủy, bác sĩ phải nhổ răng. Việc này để tránh nhiễm trùng toàn bộ tủy răng và ngăn chặn lây lan sang các răng bên cạnh. Để thực hiện, bác sĩ sẽ tiến hành gây mê và nhổ răng nhẹ nhàng. Lưu ý, sau khi nhổ bỏ răng sâu, bệnh nhân nên phục hình răng càng sớm càng tốt.

Cách phòng ngừa tình trạng bị răng sâu ăn vào tủy
Thực tế thì các vấn đề về răng miệng, trong đó có răng sâu vào tủy có thể được phòng ngừa bằng các biện pháp sau.
- Chăm sóc răng miệng cẩn thận vào mỗi sáng và tối cũng như sau mỗi bữa ăn. Luôn sử dụng bàn chải và kem đánh răng rồi chải răng theo chiều lên xuống. Từ đó loại bỏ tối đa mảng bám thức ăn và vi khuẩn.
- Với các trường hợp răng thưa, răng niềng thì bạn nên sử dụng thêm chỉ nha khoa, tăm nước và nước súc miệng trong khi vệ sinh răng miệng để gia tăng hiệu quả làm sạch.
- Khám răng và cạo vôi răng mỗi 3 – 6 tháng/ lần để kiểm soát bệnh lý răng miệng. Nếu có vấn đề thì cũng kịp thời phát hiện và điều trị hiệu quả.
- Chế độ ăn khoa học, lành mạnh. Hạn chế ăn thức ăn quá nóng hoặc quá lạnh. Hạn chế những thực phẩm cứng, dai, nhiều đường, nhiều dầu mỡ,…
- Ngay khi phát hiện những bất thường về sức khỏe răng miệng, bạn cần đi khám càng sớm càng tốt để được điều trị, phòng tránh biến chứng.
Xem thêm:
- Hoại tử răng là gì ? Những cách điều trị thế nào cho hiệu quả
- Bác sĩ chữa sâu răng uy tín chuyên nghiệp ?
Trên đây là những điều cần biết về hiện tượng bị sâu răng ăn vào tủy và những biến chứng gây ra. Cùng với đó là những lời khuyên về cách điều trị và phòng ngừa sâu răng hiệu quả. Để được tư vấn cụ thể, hãy liên hệ Nha khoa DrGreen theo thông tin bên dưới
Hotline: 0936.996.609
Fanpage: https://www.facebook.com/nhakhoadrgreen
Website: nhakhoadrgreen.vn
Hệ thống Nha khoa Dr Green:
- 40B Lạch Tray, Ngô Quyền, Hải Phòng
- HDS11 Vinhomes Marina, Lê Chân, Hải Phòng
- 38 Tân Dương, Thủy Nguyên, Hải Phòng
- 43 Trần Phú, Cẩm Phả, Quảng Ninh












