
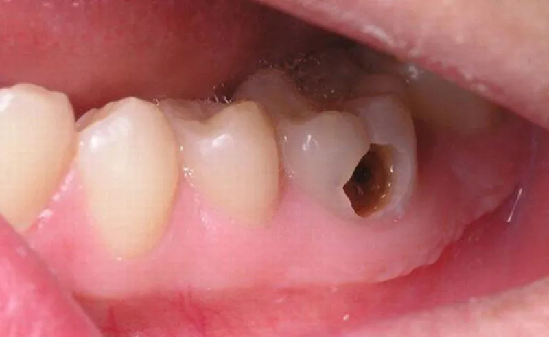
Sâu răng là căn bệnh phổ biến mà nhiều người mắc phải ở cả người lớn và trẻ em. Tuy nhiên, do tính chất bệnh này ít

Bệnh sâu răng là bệnh mà nhiều người mắc phải phổ biến ở cả người lớn và trẻ em. Tuy nhiên, nhiều người mắc phải vẫn cố

Ghép xương hàm là kỹ thuật nha khoa được chỉ định trong các trường hợp cần cấy ghép răng Implant, khi xương hàm của bệnh nhân chưa

Hiện nay, sâu răng là bệnh nhiều người mắc phải ở cả người lớn và trẻ em. Thông thường, bệnh này sẽ khiến người mắc khó chịu

Hiện nay, những bệnh về răng miệng là những tác nhân khiến cho việc sinh hoạt ăn uống khó khăn. Trong đó, một trong những hiện tượng

Sâu răng là hiện tượng phổ biến mà nhiều người thường mắc phải ở cả người lớn và trẻ em. Tuy nhiên, một số người biến chứng











