
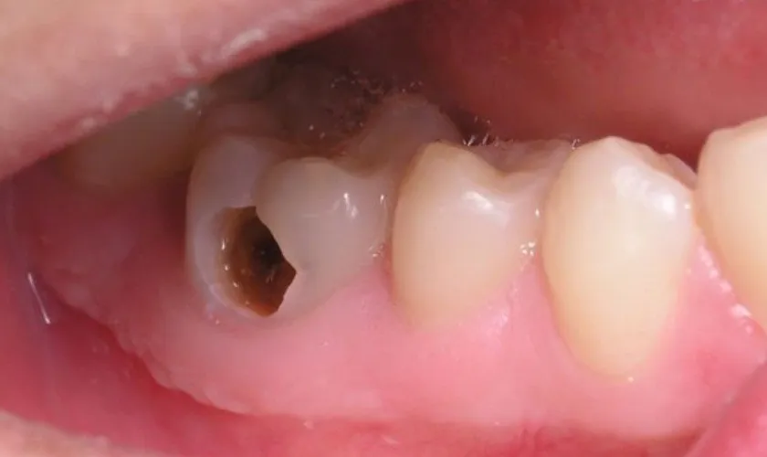
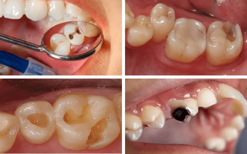
Hiện nay, một số người để tình trạng răng bị sâu kéo dài dẫn đến biến chứng nặng nề. Trong đó, răng bị lủng lỗ là triệu

Trong quá trình phát triển của trẻ thì những chiếc răng sẽ lần lượt rụng và mọc lên. Tuy nhiên, có một số trường hợp răng mọc

Sâu răng là một trong những vấn đề răng miệng rất nhiều người gặp phải hiện nay. Tuy nhiên, một số bệnh nhân để sâu răng kéo

Trong một số trường hợp, răng của chúng ta bị gãy do chịu va đập mạnh không mong muốn. Đặc biệt phần răng cửa là phần răng

Răng mọc ngầm trong xương là tình trạng thường gặp, đặc biệt ở răng khôn, gây ra nhiều biến chứng như đau nhức, viêm nhiễm, thậm chí

Niềng răng hay chỉnh nha là phương pháp hiệu quả đem lại nụ cười rạng rỡ và tự tin. Phương pháp này sẽ sử dụng một số











