
Hiện nay, sâu răng đang là vấn đề không chỉ trẻ em mà rất nhiều người mắc phải. Người mắc phải sễ cảm thấy đau âm ỉ

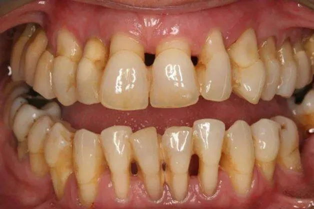
Hiện nay, phương pháp lấy cao răng là phương pháp giúp đem lại hàm răng trắng đẹp. Tuy nhiên, trong một số trường hợp, việc lấy cao

Hiện nay, niềng răng là một trong những phương án phục hình răng phổ biến nhất. Phương pháp này giúp cải thiện các khuyết điểm của răng

Hiện nay, đã có rất nhiều công nghệ hỗ trợ bác sĩ trong quá trình điều trị nha khoa. Việc ra đời của những công nghệ này

Cạo vôi răng là công việc bạn nên thực hiện để loại bỏ những mảng bám thức ăn kẹt lại. Thông qua đó giảm thiểu tình trạng
Hiện nay, tẩy trắng răng bằng Laser là một trong những kỹ thuật nha khoa hiện đại nhất. Phương pháp này sẽ sử dụng tia Laser để











