Răng hô là một trong những vấn đề nha khoa mà nhiều người mắc phải hiện nay. Người mắc phải thường cảm thấy mặc cảm khi giao tiếp do ảnh hưởng thẩm mỹ. Thậm chí một số trường hợp thường gặp rắc rối không đáng có khi sinh hoạt. Tuy nhiên, răng hô cũng có rất nhiều loại hình khiến bạn khó nhận biết. Để hiểu rõ hơn, hãy cùng Nha khoa DrGreen tìm hiểu và nhận biết các kiểu răng hô xảy ra phổ biến hiện nay. Cùng với đó là cách điều trị hiệu quả
Răng hô là gì?
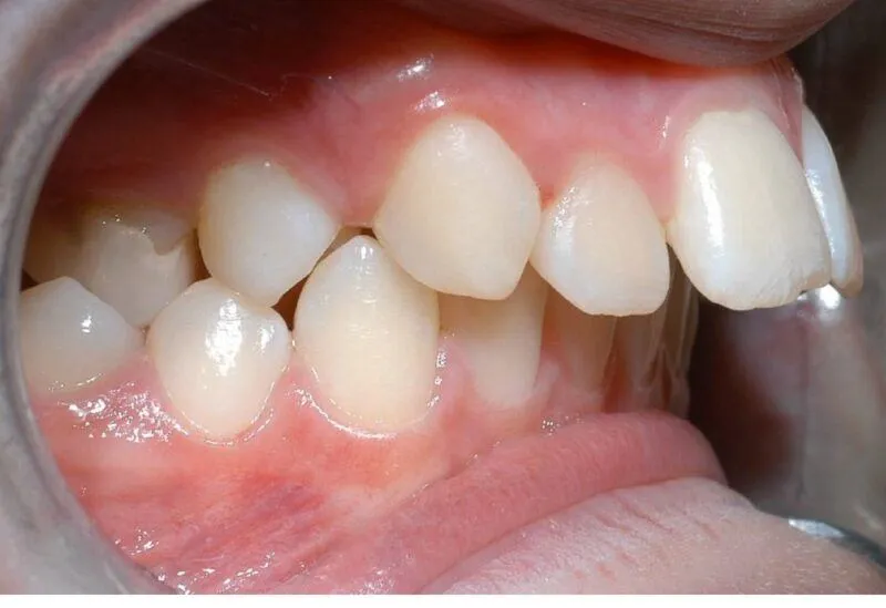
Răng hô, hay còn gọi là răng vẩu, là một dạng sai lệch khớp cắn phổ biến. Bệnh đặc trưng bởi sự chìa ra ngoài của một vài răng hoặc toàn bộ hàm trên so với hàm dưới. Tình trạng này có thể do hai nguyên nhân chính: cấu trúc xương hàm hô hoặc răng mọc sai hướng. Răng hô không chỉ ảnh hưởng đến thẩm mỹ gương mặt. Nó còn gây ra những vấn đề về chức năng nhai và phát âm. Đặc biệt gây ảnh hưởng nặng nếu mức độ hô nghiêm trọng.
Phân loại mức độ răng hô
Răng hô mức độ nhẹ:
- Răng hơi chìa về phía trước, không mọc thẳng đứng nhưng mức độ sai lệch nhỏ.
- Đường viền giữa hai hàm có thể bị lệch nhẹ nhưng khó nhận biết bằng mắt thường.
- Trong nhiều trường hợp, người bệnh không tự nhận biết mình bị hô. Việc xác định chính xác tình trạng này thường cần sự thăm khám. Đồng thời có sự chẩn đoán từ bác sĩ nha khoa.
Răng hô mức độ nặng:
- Răng hàm trên nhô ra rõ rệt và cách xa hàm dưới một cách bất thường.
- Sai lệch này dễ dàng nhận biết bằng mắt thường và thường ảnh hưởng lớn đến thẩm mỹ khuôn mặt.
- Có thể gây khó khăn trong ăn nhai, phát âm. Thậm chí làm tăng nguy cơ chấn thương cho răng cửa do vị trí chìa ra ngoài.

Các tác nhận gây ra các kiểu răng hô phổ biến
Các tác nhân chính gây ra tình trạng răng hô bao gồm:
- Di truyền: Nếu trong gia đình có người mắc phải tình trạng răng hô. Lúc này khả năng con cái hoặc thế hệ sau cũng gặp phải vấn đề này là rất cao. Di truyền có thể là yếu tố quyết định đối với cấu trúc răng miệng. Đặc biệt ảnh hưởng đến sự phát triển của hàm.
- Mất sự tương thích giữa tỷ lệ răng và xương hàm: Khi răng có kích thước lớn hơn so với không gian có sẵn trong xương hàm, hoặc khi xương hàm không đủ rộng để chứa tất cả các răng. Điều này sẽ dẫn đến tình trạng răng mọc lệch và nhô ra ngoài. Từ đó gây mất thẩm mỹ và không khớp với hàm dưới.
- Bệnh lý về xương hàm: Sự phát triển bất thường của xương hàm. Trong đó bao gồm việc xương hàm trên hoặc dưới phát triển quá mức hoặc không phát triển đủ. Từ đó có thể dẫn đến tình trạng răng hô. Trong những trường hợp nghiêm trọng, cần phải can thiệp phẫu thuật hoặc điều trị chuyên sâu để khắc phục vấn đề này.
- Các thói quen xấu: Một số thói quen không tốt trong giai đoạn trẻ em, như mút tay, ngậm ti giả sai cách, hoặc thở bằng miệng, có thể làm tăng nguy cơ răng hô khi trẻ thay răng. Những thói quen này có thể ảnh hưởng đến sự phát triển của răng và hàm, dẫn đến sự lệch lạc và hô răng.

Nhận biết các kiểu răng hô xảy ra phổ biến nhất hiện nay
Các kiểu răng hô phổ biến – Hô trên
Răng hô hàm trên là một trong các kiểu răng hô phổ biến khi răng cửa hàm trên bị đưa ra ngoài. Từ đó gây mất thẩm mỹ và làm mất cân đối cho khuôn mặt. Nguyên nhân chủ yếu của tình trạng này là sự phát triển quá mức của xương hàm trên. Nó khiến phần xương hàm nhô ra bất thường so với hàm dưới. Điều này dẫn đến việc hai hàm trên và dưới không khớp với nhau.
Để lâu dài sẽ gây mất thẩm mỹ cho gương mặt. Đồng thời ảnh hưởng đến chức năng nhai thức ăn và khả năng phát âm. Khi răng hàm trên bị hô, gương mặt trở nên không cân đối và dễ lộ các khuyết điểm. Từ đó gây ảnh hưởng lớn đến sự tự tin và giao tiếp của người bệnh.
Các kiểu răng hô phổ biến – Hô dưới
Một trong các kiểu răng hô phổ biến khác là hô hàm dưới. Đây là tình trạng mà hàm dưới bị lệch và thường nhô ra ngoài so với hàm trên. Trong một số trường hợp, hàm dưới có thể bị lệch sang một bên (phải hoặc trái). Đây là tình trạng phổ biến do sự phát triển không đồng đều. Đặc biệt là sự không đồng đều của xương hàm dưới.
Nếu không được can thiệp điều trị kịp thời, tình trạng này có thể dẫn đến sai lệch khớp cắn. Từ đó làm giảm khả năng nhai nghiền thức ăn và gây ảnh hưởng đến phát âm. Các bác sĩ nha khoa khuyến cáo nên điều trị sớm. Từ đó tránh các biến chứng lâu dài ảnh hưởng đến chức năng ăn uống. Đồng thời hạn chế ảnh hưởng thẩm mỹ của khuôn mặt.

Kiểu răng hô làm cằm lẹm
Răng hô cằm lẹm là một dạng rối loạn cấu trúc xương hàm. Trong đó hàm trên phát triển bình thường nhưng xương hàm dưới lại phát triển thiếu. Tình trạng này khiến cằm bị lẹm vào trong. Tình trạng này khiến khuôn mặt mất đi sự hài hòa. Đặc biệt là phần dưới mặt bị thay đổi lớn về hình dáng. Để lâu dài sẽ tạo cảm giác khuôn mặt thiếu cân đối.
Thông thường tình trạng này không ảnh hưởng trực tiếp đến chức năng ăn nhai. Tuy nhiên nó lại thể hiện rõ sự khiếm khuyết về mặt thẩm mỹ. Đồng thời làm giảm đi vẻ tự nhiên và hài hòa của gương mặt. Điều trị tình trạng này có thể cải thiện đáng kể vẻ ngoài. Thông qua đó đem lại sự tự tin của bệnh nhân.
Kiểu răng hô làm môi dày
Răng hô làm môi dày là tình trạng khi răng hàm trên bị đưa ra ngoài quá mức so với hàm dưới. Hiện tượn này kéo theo sự thay đổi trong cấu trúc môi. Môi trở nên dày và nhọn hơn. Đôi khi khiến miệng không thể khép kín một cách tự nhiên. Khi nhìn nghiêng, bạn sẽ thấy rõ sự nhô ra của răng hàm trên so với khuôn mặt.
Tình trạng này không chỉ ảnh hưởng đến thẩm mỹ. Nó còn gây khó khăn trong quá trình nhai thức ăn. Từ đó khiến việc ăn uống trở nên bất tiện. Việc điều chỉnh răng hô làm môi dày sẽ giúp khôi phục lại sự cân đối cho khuôn mặt. Đồng thời cải thiện hiệu quả khả năng nhai và chức năng phát âm.
Các kiểu răng hô – Hô hở lợi
Một trong các kiểu răng hô phổ biến là hiện tượng răng hô hở lợi. Đặc trưng bởi tình trạng khi bệnh nhân cười, phần nướu răng bị lộ ra nhiều. Từ đó làm lộ phần lợi không mong muốn. Điều này thường đi kèm với thân răng ngắn, không tương xứng với chiều cao của lợi. Thông qua đó gây mất cân đối về mặt thẩm mỹ. Mặc dù không ảnh hưởng lớn đến chức năng nhai, tình trạng này lại gây mất tự tin. Đặc biệt ảnh hưởng là khi cười hoặc giao tiếp. Việc điều trị răng hô hở lợi có thể cải thiện được hình dáng răng và nướu. Từ đó mang lại một nụ cười đẹp và tự nhiên hơn.

Những cách chữa trị các kiểu răng hô đạt hiệu quả
Niềng răng
Niềng răng là phương pháp phổ biến và hiệu quả nhất để điều trị các kiểu răng hô. Đồng thời giúp bảo tồn răng thật. Kỹ thuật chỉnh nha này sử dụng các khí cụ để di chuyển răng về đúng vị trí mong muốn. Từ đó giúp cải thiện sự cân đối của khuôn mặt và chức năng nhai. Thời gian niềng răng thường kéo dài từ 2 đến 3 năm. Tất cả tùy vào mức độ hô và tình trạng cụ thể của mỗi bệnh nhân.
Hiện nay, tại các bệnh viện và trung tâm nha khoa, có nhiều lựa chọn dịch vụ niềng răng để điều trị tình trạng răng hô. Trong đó bao gồm niềng răng mắc cài truyền thống, niềng răng mắc cài tự động. Ngoài ra là niềng răng mặt trong, và niềng răng trong suốt.
Bọc răng sứ
Bọc răng sứ là phương pháp điều trị các kiểu răng hô không cần niềng. Nó thường được áp dụng cho các trường hợp hô nhẹ. Phương pháp này bao gồm việc mài bớt một phần men răng. Sau đó ốp lên một lớp sứ đã được chế tác để khắc phục tình trạng răng hô. Răng sứ có màu sắc và hình dáng tự nhiên. Từ đó giúp mang lại một nụ cười thẩm mỹ và hài hòa hơn.
Tuy nhiên, đây không phải là phương pháp tối ưu cho tất cả các trường hợp. Đặc biệt là đối với các tình trạng răng hô nặng. Việc mài răng quá mức có thể gây tổn thương đến cấu trúc răng thật. Từ đó khiến răng dễ bị nứt, vỡ hoặc hư hại theo thời gian. Vì vậy, phương pháp này chỉ nên được áp dụng cho các trường hợp răng hô nhẹ. Đồng thời khi thực hiện cần có sự tư vấn kỹ lưỡng từ bác sĩ nha khoa.

Phẫu thuật chỉnh hàm
Trong trường hợp răng hô do sự phát triển bất thường của xương hàm, phẫu thuật chỉnh hàm là biện pháp duy nhất có thể khắc phục triệt để tình trạng này. Phẫu thuật sẽ can thiệp vào phần xương hàm trên bị phát triển quá mức. Sau đó điều chỉnh vị trí của hàm để giúp các hàm trên và dưới khớp nhau. Từ đó mang lại sự cân đối cho khuôn mặt.
Đây là một phẫu thuật phức tạp, do đó, bệnh nhân cần lựa chọn các bệnh viện uy tín. Đồng thời phải có bác sĩ chuyên khoa có kinh nghiệm. Thông qua đó đảm bảo an toàn và đạt kết quả tối ưu. Việc thực hiện phẫu thuật ở những cơ sở không đảm bảo chất lượng có thể gây ra các biến chứng nghiêm trọng. Vì vậy cần thận trọng trong việc lựa chọn địa chỉ điều trị.
Phẫu thuật kết hợp niềng răng
Đối với những trường hợp răng hô vừa do sự phát triển bất thường của xương hàm, vừa do sự lệch lạc của răng, phương pháp điều trị kết hợp giữa phẫu thuật chỉnh hàm và niềng răng sẽ mang lại hiệu quả tốt nhất. Phẫu thuật sẽ được thực hiện trước, giúp điều chỉnh lại cấu trúc xương hàm. Sau đó tiến hành niềng răng để điều chỉnh vị trí các răng. Từ đó làm cho khớp cắn chuẩn và các răng đều đẹp hơn.
Phương pháp này không chỉ giúp khôi phục thẩm mỹ. Đồng thời còn cải thiện chức năng nhai và phát âm. Tuy nhiên, nó yêu cầu kỹ thuật cao và thời gian điều trị dài,. Vì thế việc điều trị cần được thực hiện tại các cơ sở y tế có đầy đủ trang thiết bị. Đồng thời có đội ngũ bác sĩ chuyên khoa giàu kinh nghiệm
Xem thêm:
Trên đây là những điều cần biết và cách nhận biết các kiểu răng hô phổ biến nhất. Cùng với đó là cách điều trị hiệu quả cách vấn đề răng hô. Để được tư vấn cụ thể, hãy liên hệ Nha khoa DrGreen theo thông tin bên dưới
Hotline: 0936.996.609
Fanpage: https://www.facebook.com/nhakhoadrgreen
Website: nhakhoadrgreen.vn
Hệ thống Nha khoa Dr Green:
- 40B Lạch Tray, Ngô Quyền, Hải Phòng
- HDS11 Vinhomes Marina, Lê Chân, Hải Phòng
- 38 Tân Dương, Thủy Nguyên, Hải Phòng
- 43 Trần Phú, Cẩm Phả, Quảng Ninh












