Răng mọc lộn xộn không chỉ ảnh hưởng đến thẩm mỹ khuôn mặt mà còn gây ra nhiều vấn đề về sức khỏe răng miệng như khó khăn trong việc nhai, vệ sinh răng miệng kém và tăng nguy cơ sâu răng, viêm lợi. Bài viết dưới đây của Dr. Green sẽ giới thiệu những cách khắc phục răng mọc lộn xộn phổ biến và hiệu quả, giúp bạn lựa chọn phương pháp phù hợp nhất.
Thế nào là răng mọc lộn xộn?
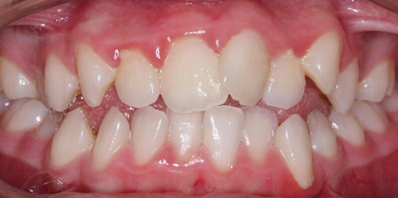
Răng mọc lộn xộn (hay còn gọi là răng mọc lệch) là tình trạng phổ biến trong nha khoa, xảy ra khi các răng không có đủ không gian để mọc thẳng hàng và đúng vị trí trên cung hàm. Sự chen chúc của răng có thể dẫn đến sai lệch khớp cắn, ảnh hưởng đến chức năng ăn nhai, thẩm mỹ và thậm chí gây ra các vấn đề về sức khỏe răng miệng khác.
Nguyên nhân gây nên tình trạng răng mọc lộn xộn
Trước khi đi vào tìm hiểu phương pháp điều trị răng mọc lộn xộn, cần quan tâm đến lý do gây ra tình trạng này. Từ đó, có cách khắc phục cho hiệu quả.
Do di truyền
Yếu tố di truyền có vai trò rất lớn trong sự phát triển và cấu trúc của răng miệng. Các đặc điểm về răng miệng, chẳng hạn như hình dạng cung hàm, kích thước răng và sự phát triển của men răng, đều có thể được truyền từ cha mẹ sang con cái.
Nếu cha mẹ có hàm răng không đều, cung hàm hẹp hoặc răng mọc chen chúc, con cái có thể cũng thừa hưởng đặc điểm này. Cung hàm nhỏ hoặc không đủ chỗ cho răng phát triển là nguyên nhân chính gây ra răng mọc lộn xộn.
Răng vĩnh viễn mọc trước khi răng sữa rụng
Thông thường, các răng sữa sẽ bắt đầu rụng dần và được thay thế bởi răng vĩnh viễn khi trẻ từ 6 đến 12 tuổi. Tuy nhiên, trong một số trường hợp, răng sữa không rụng đúng thời điểm, dẫn đến nhiều hệ lụy cho sự phát triển của hàm răng.
- Chân răng sữa chưa tiêu hoàn toàn hoặc cấu trúc răng sữa chắc khỏe.
- Răng vĩnh viễn có thể mọc sai vị trí, không trực tiếp dưới răng sữa, khiến cho răng sữa không bị tác động để rụng.
- Khi không có đủ không gian cho răng vĩnh viễn phát triển, răng sữa không có “lực ép” cần thiết để rụng.
Khi răng sữa vẫn còn tồn tại, răng vĩnh viễn sẽ bị thiếu chỗ để mọc và có xu hướng mọc lệch, chen chúc hoặc thậm chí mọc chồng lên nhau, dẫn đến sai lệch khớp cắn.

Răng vĩnh viễn mọc trước khi răng sữa rụng
Cấu trúc xương hàm
Cấu trúc xương hàm đóng vai trò rất quan trọng trong việc sắp xếp và phát triển răng. Kích thước và hình dạng của xương hàm ảnh hưởng trực tiếp đến việc các răng có đủ không gian để mọc thẳng hàng và khớp cắn đúng hay không. Khi xương hàm quá hẹp hoặc nhỏ, các răng vĩnh viễn sẽ không có đủ không gian để phát triển và mọc đúng vị trí. Từ đó dẫn đến tình trạng răng mọc lộn xộn. Trái ngược với tình trạng xương hàm nhỏ, khi xương hàm phát triển quá rộng so với kích thước của răng, các răng sẽ có khoảng cách quá lớn giữa chúng, dẫn đến tình trạng răng thưa.
Thói quen từ nhỏ
Một số thói quen như mút ngón tay, đẩy lưỡi hoặc dùng núm vú giả quá lâu có thể ảnh hưởng đến sự phát triển của xương hàm, dẫn đến sự lệch lạc trong cấu trúc răng miệng.
Các phương pháp khắc phục răng mọc lộn xộn
Răng mọc lộn xộn không những gây ảnh hưởng đến thẩm mỹ mà còn gây ra nhiều vấn đề răng miệng khác gây suy giảm chức năng răng miệng và là yếu tố để hình thành bệnh lý về răng miệng. Vậy nên cần khắc phục sớm để tránh hậu quả trên.
Dùng răng sứ thẩm mỹ
Phục hình bằng răng sứ thẩm mỹ là một phương pháp phổ biến trong nha khoa để khắc phục các vấn đề về răng lộn xộn, không đều, hay răng có màu sắc không ưng ý. Phương pháp này thường mang lại hiệu quả thẩm mỹ cao và nhanh chóng, giúp cải thiện nụ cười chỉ trong thời gian ngắn. Ưu điểm của phương pháp răng sứ thẩm mỹ:

Răng sứ thẩm mỹ giúp khắc phục tình trạng răng mọc lộn xộn
- Không chỉ giúp điều chỉnh răng mọc lộn xộn nhẹ của mà còn cải thiện màu sắc, mang lại một hàm răng đều và trắng sáng, tạo nên nụ cười tự tin.
- Đối với những trường hợp răng không đều ở mức độ nhẹ, răng sứ có thể được thiết kế để lấp đầy các khoảng trống hoặc tạo cảm giác răng thẳng hàng hơn mà không cần niềng răng.
- Răng sứ có độ bền cao, có thể chịu được lực nhai mạnh và tuổi thọ lâu dài nếu được chăm sóc tốt.
- Răng sứ có khả năng chống ố vàng và giữ màu tốt hơn răng thật, giúp duy trì độ trắng sáng trong thời gian dài.
Xem thêm: 18 tuổi niềng răng được không? Đâu là độ tuổi niềng răng tốt nhất
Niềng răng

Khắc phục răng lộn xộn bằng cách niềng răng
Niềng răng thẩm mỹ là một phương pháp phổ biến và hiệu quả trong việc điều chỉnh răng mọc không đều, răng chen chúc, hô, móm hoặc sai lệch khớp cắn. Mục tiêu của niềng răng là đưa răng về đúng vị trí trên cung hàm, cải thiện thẩm mỹ và chức năng cắn, nhai. Niềng răng không chỉ mang lại nụ cười tự tin mà còn giúp duy trì sức khỏe răng miệng lâu dài. Một số loại niềng răng thẩm mỹ với ưu điểm như:
- Niềng răng mắc cài kim loại: Có độ bền cao và hiệu quả tốt, nhưng mắc cài kim loại dễ thấy nên thẩm mỹ không cao.
- Niềng răng mắc cài sứ: Giúp giảm thiểu sự chú ý và mang lại vẻ thẩm mỹ tốt hơn so với mắc cài kim loại. Tuy nhiên, mắc cài sứ dễ vỡ hơn và có thể yêu cầu bảo dưỡng nhiều hơn.
- Niềng răng trong suốt (Invisalign): Tính thẩm mỹ cao và khả năng tháo lắp dễ dàng khi ăn uống, vệ sinh răng miệng.
- Niềng răng mặt trong: Mắc cài được gắn ở mặt trong của răng, giúp ẩn toàn bộ hệ thống niềng khỏi tầm nhìn. Tuy nhiên, phương pháp này có thể gây khó chịu hơn và khó vệ sinh hơn.
Nha khoa Dr Green khắc phục răng mọc lộn xộn uy tín
Nha khoa Dr Green đã được khách hàng đánh giá cao và xem như một trong những phòng khám nha khoa uy tín nhất tại Hải Phòng. Là thương hiệu của Công ty TNHH DrGreen Profession, phòng khám được sáng lập bởi Bác sĩ chuyên khoa nổi tiếng Nguyễn Minh Tuân.
Với phương châm “Tự tin tỏa sáng nụ cười”, Dr Green không chỉ tập trung vào việc chăm sóc sức khỏe răng miệng mà còn giúp hàng ngàn khách hàng tìm lại sự tự tin và lan tỏa năng lượng sống tích cực. Đơn vị cũng tự hào sở hữu đội ngũ bác sĩ răng hàm mặt giàu kinh nghiệm và chuyên môn tại Hải Phòng.
DrGreen còn tiên phong trong việc áp dụng những công nghệ nha khoa tiên tiến như X-Guide, hệ thống CT Conebeam và niềng răng Invisalign không mắc cài, mang đến sự chăm sóc nha khoa hiện đại, chuyên nghiệp và thoải mái cho khách hàng.

Tự tin toả sáng nụ cười với DrGreen
Thông tin liên hệ:
- Địa chỉ 1: 40B Lạch Tray, Ngô Quyền, Hải Phòng
- Địa chỉ 2: HDS11 Vinhomes Marina, Lê Chân, Hải Phòng
- Địa chỉ 3: 38 Tân Dương, Thủy Nguyên, Hải Phòng
- Địa chỉ 4: 43 Trần Phú, Cẩm Phả, Quảng Ninh
- Hotline: 0936996609
- Website: https://nhakhoadrgreen.vn/
Xem thêm: Niềng răng hô xong bị móm do đâu? Cách điều trị hiệu quả
Răng mọc lộn xộn là vấn đề phổ biến có thể gây ra nhiều bất tiện về thẩm mỹ và sức khỏe răng miệng. Việc lựa chọn phương pháp phù hợp cần dựa trên tình trạng cụ thể của từng người và được thực hiện bởi các chuyên gia nha khoa uy tín.












