Hô hàm là hiện tượng nhiều người bị khi bẩm sinh hoặc phát sinh dấu hiệu sau này. Khi mắc phải, cấu trúc khuôn mặt sẽ trở nên mất cân đối. Từ đó khiến cho người bị cảm thấy mặc cảm và tự ti khi giao tiếp và nói chuyện. Thậm chí nó còn có thể dẫn đến các biến chứng như rối loạn khớp thái dương hàm. Trong đó, hiện tượng hô phía trên là diễn ra phổ biến nhất. Trong bài viết này, Nha khoa DrGreen xin chia sẻ tới các bạn những điều cần biết và cách điều trị hiệu quả bệnh hô hàm trên
Hô hàm trên là gì?
Hô hàm trên là một trong những vấn đề nha khoa phổ biến. Nó có thể gây ra nhiều khó khăn trong cuộc sống hàng ngày của người mắc phải. Đây là tình trạng khi các răng và xương hàm không phát triển đúng cách. Từ đó dẫn đến sự không đều của hàm và làm ảnh hưởng đến ăn nhai. Theo thời gian nó sẽ gây mất cân đối thẩm mỹ khuôn mặt. Nguyên nhân có thể đến từ sự phát triển quá mức của xương hàm. Hoặc sự mọc lệch lạc của răng, khiến răng hàm trên nhô ra ngoài nhiều hơn so với bình thường.
Sự mất cân đối giữa hai hàm hoặc sự phát triển quá mức của cả hai hàm có thể dẫn đến những biến đổi rõ rệt về cấu trúc khuôn mặt. Điều này không chỉ ảnh hưởng đến vẻ đẹp thẩm mỹ. Nó còn có thể gây ra cảm giác thiếu tự tin. Điều này cực kì nghiêm trọng là trong các tình huống giao tiếp hàng ngày. Hơn nữa, tình trạng hô hàm sẽ gây khó khăn trong việc ăn uống và nhai. Từ đó ảnh hưởng trực tiếp đến sức khỏe răng miệng và chất lượng cuộc sống.

Dấu hiệu phổ biến của việc hô hàm trên là gì?
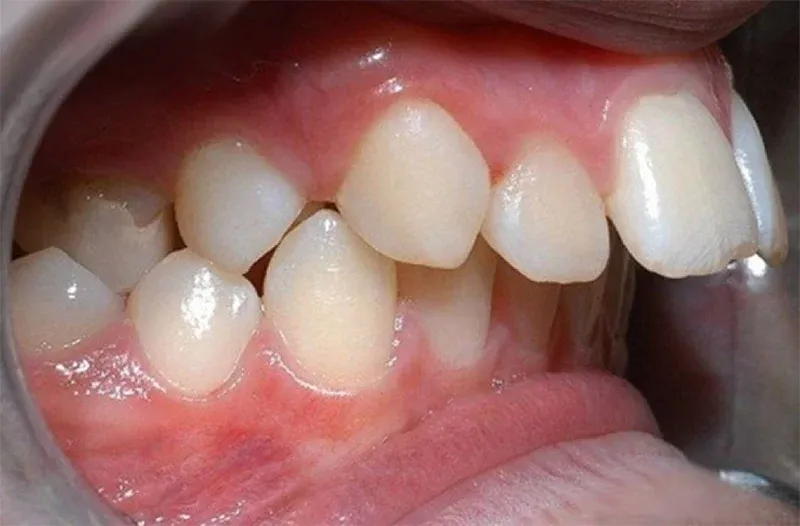
Tình trạng hô hàm trên không chỉ ảnh hưởng đến thẩm mỹ khuôn mặt. Nó còn tác động đến chức năng ăn nhai và sức khỏe răng miệng. Người bị hô hàm trên thường có sự mất cân đối giữa hàm trên và hàm dưới. Điều này sẽ khiến tổng thể khuôn mặt trông mất hài hòa. Dưới đây là những biểu hiện dễ nhận biết của tình trạng này:
- Khi nhìn từ góc nghiêng, phần hàm trên có dấu hiệu đưa ra rõ rệt so với hàm dưới. Từ đó tạo cảm giác khuôn mặt bị gồ, mất cân đối.
- Môi trên thường bị đẩy ra ngoài nhiều hơn bình thường, tạo cảm giác căng cứng. Đồng thời khiến chóp môi có hình dạng nhọn hơn.
- Môi trên và môi dưới không thể khép lại một cách tự nhiên. Từ đó tạo khoảng hở giữa hai môi. Điều này sẽ diễn ra khi ở trạng thái thư giãn hoặc tư thế nằm,
- Chỉ răng hàm trên bị chìa ra phía trước. Còn hàm dưới vẫn giữ vị trí bình thường.
- Một số trường hợp toàn bộ phần xương hàm trên cùng răng bị đẩy ra ngoài.
- Răng hàm trên không tiếp xúc chuẩn với răng hàm dưới. Từ đó làm giảm hiệu quả nhai nghiền thức ăn.

Các mức độ hô hàm trên phổ biến hiện nay
Dạng 1: Hô do răng
Trong trường hợp hô hàm trên do răng, vấn đề không phải do xương hàm. Nó chủ yếu xuất phát từ việc trục răng bị nghiêng quá mức. Từ đó khiến các răng cửa nhô ra phía trước. Đây là dạng hô phổ biến mà răng có xu hướng mọc không đúng vị trí. Theo thời gian nó tạo nên sự lệch lạc trong khuôn miệng.
Điều trị cho dạng hô này chủ yếu là niềng răng,, giúp kéo răng cửa trở lại vị trí đúng. Đồng thời chỉnh sửa trục răng để dựng thẳng, từ đó làm giảm đáng kể mức độ hô. Phương pháp này mang lại hiệu quả cao trong việc cải thiện tình trạng hô do răng. Ngoài ra, việc này cũng sẽ không cần can thiệp vào xương hàm.

Dạng 2: Hô do xương
Dạng hô hàm trên này chủ yếu do sự phát triển quá mức của xương hàm. Từ đó làm cho xương hàm trên hoặc dưới nhô ra phía trước. Theo thời gian nó sx tạo thành một khuôn mặt có đặc điểm “lồi”. Tuy nhiên, trong trường hợp này, trục răng lại không bị lệch. Nó vẫn giữ thẳng và không ngả về phía trước. Để điều trị triệt để, phương pháp phẫu thuật là cần thiết.
Phẫu thuật can thiệp sẽ giúp đẩy lùi khối xương hàm và răng về phía sau. Từ đó mang lại sự cân đối và hài hòa cho khuôn mặt, đặc biệt là ở góc nhìn nghiêng. Niềng răng không mang lại hiệu quả đáng kể đối với trường hợp hô do xương. Phương pháp này chỉ tác động đến răng mà không cải thiện được cấu trúc xương hàm.

Dạng 3: Hô do xương kết hợp do răng
Đây là dạng hô hàm trên phức tạp nhất, khi cả xương hàm và trục răng đều có vấn đề. Khuôn mặt của người bị hô dạng này thường có vẻ ngoài rất “lồi”. Trong đó phần xương hàm nhô ra phía trước kết hợp với các răng cửa chìa ra ngoài. Để điều trị hiệu quả, cần thực hiện cả phẫu thuật xương hàm để đẩy lùi khối xương ra sau. Đồng thời niềng răng để chỉnh sửa trục răng, giúp răng dựng thẳng.
Một số người thực hiện niềng răng mà không can thiệp phẫu thuật xương hàm. Thông thường nó có thể cải thiện được phần hô do răng. Tuy nhiên phần hô do xương vẫn sẽ không được cải thiện nhiều. Tùy trường hợp, việc kết hợp cả phẫu thuật và niềng răng có thể giảm độ lồi mặt từ 50-70%. Từ đó đem lại sự thay đổi đáng kể về thẩm mỹ.

Nguyên nhân gây ra hô hàm trên phổ biến nhất
Yếu tố bẩm sinh
Hơn 70% trường hợp hô hàm trên có nguồn gốc từ yếu tố di truyền. Tức là do gen di truyền từ ông bà hoặc cha mẹ. Nếu trong gia đình có người bị hô, có khả năng cao rằng con cái sẽ mắc phải tình trạng tương tự. Trong đó mức độ có thể nặng hoặc nhẹ hơn tùy vào từng cá nhân. Yếu tố di truyền ảnh hưởng đến sự phát triển của xương hàm và cấu trúc răng. Theo thời gian nó sẽ gây ra tình trạng lệch lạc và hô vẩu ở các thế hệ sau.
Các thói quen xấu từ nhỏ
Một số thói quen không tốt từ khi còn nhỏ có thể tác động tiêu cực đến sự phát triển bình thường của hàm và răng. Các thói quen xẩu phổ biến bao gồm mút tay, ngậm ti, đẩy lưỡi, hay cắn môi, thở bằng miệng… Chúng có thể gây ảnh hưởng xấu đến việc hình thành và phát triển của xương hàm. Từ đó khiến răng bị đẩy ra ngoài, tạo ra tình trạng hô hàm trên khi trưởng thành. Những thói quen này làm thay đổi trật tự mọc răng. Điều này dẫn đến sự lệch lạc của răng và hàm, gây mất cân đối khuôn mặt.

Phát triển hàm mặt bị sai lệch
Một số người có sự biến đổi khi phát triển từ khi còn nhỏ cho đến khi trưởng thành. Lúc này xương hàm và cấu trúc răng có thể chịu tác động từ nhiều yếu tố khác nhau. Điều này sẽ khiến chúng không phát triển đồng đều. Các biến động này có thể gây mất cân đối trong sự phát triển của xương hàm. Điều này làm cho răng không đủ không gian để mọc đúng vị trí. Khi đó, các răng sẽ mọc chen chúc hoặc bị đẩy ra phía trước. Sự sai lệch trong quá trình phát triển hàm mặt có thể dẫn đến những thay đổi đáng kể về thẩm mỹ và chức năng răng miệng.
Tác động ngoại lực
Các chấn thương do va đập mạnh hoặc tai nạn có thể làm tổn thương cấu trúc xương hàm. Từ đó gây ra sự biến dạng và làm thay đổi hình dáng khuôn mặt. Những chấn thương này có thể tác động trực tiếp lên xương hàm. Đặc biệt là hàm trên, làm xương hàm bị nhô ra ngoài. Theo thời gian nó sẽ dẫn dẫn đến tình trạng hô. Các tác động ngoại lực không chỉ ảnh hưởng đến thẩm mỹ. Nó còn có thể gây ra các vấn đề về chức năng nhai và cắn.

Răng hô hàm trên có ảnh hưởng gì không?
Về mặt thẩm mỹ bên ngoài
Tình trạng hô hàm, đặc biệt là hô hàm trên, làm cho khuôn mặt trở nên “lồi” và thiếu sự hài hòa. Các đặc điểm này không chỉ ảnh hưởng đến sự cân đối của khuôn mặt. Nó còn có thể trở nên rõ rệt hơn theo thời gian. Theo thời gian tuổi tác tăng lên hoặc có thể khiến cơ thể gầy sút cân. Lúc này khuôn mặt có thể càng trở nên “vêu vao”. Đồng thời làm mất đi sự trẻ trung và tự nhiên. Điều này có thể gây cảm giác thiếu tự tin trong giao tiếp. Thậm chí ảnh hưởng đến chất lượng cuộc sống của người mắc phải.
Về chức năng trong miệng
Đối với những người bị hô hàm trên, sự lệch lạc trong trục răng có thể gây ra vấn đề nghiêm trọng về khớp cắn. Cụ thể, tình trạng này có thể dẫn đến cắn sâu. Hiện tượng này nghĩa là răng cửa dưới cắn chạm vào gót răng cửa trên. Hoặc thậm chí cắn chạm vào lợi phía trên.
Điều này khiến cho răng cửa dưới bị trồi cao và răng cửa trên bị chìa ra ngoài. Vì thế dễ bị va đập và tổn thương trong quá trình ăn uống hoặc sinh hoạt hàng ngày. Răng cửa trên, do mọc lệch lạc, cũng dễ bị sang chấn hoặc sứt mẻ hơn. Hơn nữa, sự không khớp cắn còn có thể gây khó khăn trong việc nhai. Từ đó làm tăng nguy cơ mắc các vấn đề răng miệng khác. Ví dụ như viêm nướu và mòn răng.

Cách xử lý hiện tượng hô hàm trên hiệu quả và an toàn
Điều trị hiện tượng hô do răng
Hô hàm trên do răng xảy ra khi răng hàm trên mọc chìa ra phía trước. Hoặc sai lệch vị trí so với hàm dưới. Trong trường hợp này, phương pháp điều trị thường bao gồm:
Bọc răng sứ thẩm mỹ
- Áp dụng cho những trường hợp hô nhẹ do răng mọc chìa ra ngoài nhưng không quá nghiêm trọng.
- Bác sĩ sẽ tiến hành mài một lớp men răng mỏng và bọc mão sứ bên ngoài. Từ đó tạo hình răng thẳng hơn, đều đẹp và trắng sáng tự nhiên.
- Phương pháp này mang lại hiệu quả nhanh chóng. Tuy nhiên cần lưu ý rằng việc mài răng sẽ ảnh hưởng đến men răng thật.
Niềng răng chỉnh nha
- Đây là phương pháp tối ưu giúp điều chỉnh răng mọc lệch, răng chìa mà không cần mài răng.
- Bác sĩ sẽ sử dụng hệ thống mắc cài kim loại, mắc cài sứ hoặc khay niềng trong suốt. Thông qua đó dịch chuyển răng từ từ về vị trí chuẩn trên cung hàm.
- Thời gian điều trị dao động từ 1.5 – 3 năm. Tất cả tùy vào mức độ sai lệch của răng và phương pháp niềng lựa chọn.
- Niềng răng không chỉ giúp cải thiện tính thẩm mỹ. Nó còn đảm bảo khớp cắn chuẩn. Từ đó cải thiện chức năng ăn nhai và bảo vệ sức khỏe răng miệng lâu dài.

Điều trị hiện tượng hô do hàm
Hô hàm trên do hàm xảy ra khi xương hàm trên phát triển quá mức. Từ đó khiến toàn bộ hàm bị nhô ra phía trước dù răng vẫn mọc thẳng hàng. Trong trường hợp này, niềng răng đơn thuần sẽ không thể giải quyết triệt để vấn đề. Chúng ta cần can thiệp bằng phương pháp phẫu thuật chỉnh hình hàm.
Phẫu thuật chỉnh hình xương hàm
- Được chỉ định khi nguyên nhân hô xuất phát từ xương hàm thay vì do răng mọc lệch.
- Bác sĩ sẽ cắt và điều chỉnh lại vị trí xương hàm trên. Đưa hàm về đúng vị trí, giúp khuôn mặt cân đối hơn.
- Phương pháp này mang lại hiệu quả nhanh chóng. Chỉ cần phẫu thuật một lần duy nhất mà không cần chỉnh nha kéo dài.
- Thời gian hồi phục khoảng 4 – 6 tuần tùy theo cơ địa từng người.
Phẫu thuật kết hợp niềng răng
- Bác sĩ có thể chỉ định kết hợp phẫu thuật hàm và niềng răng để đạt hiệu quả toàn diện.
- Một số trường hợp cần niềng răng trước để sắp xếp răng về vị trí tối ưu. Sau đó mới tiến hành phẫu thuật hàm.
- Một số trường hợp cần phẫu thuật trước, sau đó niềng răng để tinh chỉnh khớp cắn.
- Tùy vào tình trạng cụ thể, bác sĩ sẽ tư vấn phương án phù hợp nhất cho từng bệnh nhân.
Xem thêm:
Trên đây là những điều cần biết về nguyên nhân và dấu hiệu hiện tượng hô hàm trên. Cùng với đó là cách điều trị hiểu quả và dứt điểm bệnh này. Để được tư vấn cụ thể, hãy liên hệ Nha khoa DrGreen theo thông tin bên dưới
Hotline: 0936.996.609
Fanpage: https://www.facebook.com/nhakhoadrgreen
Website: nhakhoadrgreen.vn
Hệ thống Nha khoa Dr Green:
- 40B Lạch Tray, Ngô Quyền, Hải Phòng
- HDS11 Vinhomes Marina, Lê Chân, Hải Phòng
- 38 Tân Dương, Thủy Nguyên, Hải Phòng
- 43 Trần Phú, Cẩm Phả, Quảng Ninh









