Tụt lợi là một vấn đề nha khoa phổ biến, ảnh hưởng nghiêm trọng đến sức khỏe răng miệng và thẩm mỹ của nụ cười. Nhiều người mặc dù đã chú ý vệ sinh răng miệng hàng ngày, nhưng vẫn gặp phải tình trạng này mà không rõ nguyên nhân cũng như cách điều trị hiệu quả. Trong bài viết này, chúng ta sẽ đi sâu phân tích nguyên nhân gây tụt lợi và hướng dẫn các biện pháp khắc phục an toàn, hiệu quả, giúp bạn lấy lại nụ cười tự tin.

Tụt lợi là gì và dấu hiệu nhận biết
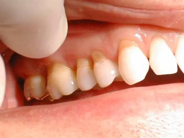
Tụt lợi, hay còn gọi là rút lợi, là hiện tượng lợi bị co rút hoặc tiêu biến khỏi chân răng, để lộ phần cổ răng hoặc thân răng, gây nên nhiều phiền toái trong sinh hoạt hàng ngày. Không chỉ ảnh hưởng đến thẩm mỹ, tụt lợi còn là dấu hiệu của các vấn đề nha khoa nghiêm trọng, có thể dẫn đến mất răng nếu không được xử lý kịp thời.
Chúng ta có thể dễ dàng nhận biết các dấu hiệu của tụt lợi qua những biểu hiện cụ thể sau đây, để từ đó có thể kịp thời đi khám và điều trị đúng cách.

Lợi bị co rút làm lộ chân răng gây ê buốt
Khi lợi co rút, phần chân răng vốn ẩn dưới nướu sẽ lộ ra ngoài, khiến cho cấu trúc răng trở nên trần trụi hơn. Đặc biệt, chân răng không có lớp men bảo vệ như thân răng, rất dễ bị nhạy cảm khi tiếp xúc với nhiệt độ nóng, lạnh hoặc thức ăn chua. Hiện tượng này gây ra cảm giác ê buốt thật sự, khiến người bệnh cảm thấy khó chịu, giảm ăn uống và ảnh hưởng lớn đến chất lượng cuộc sống.
Nguyên nhân chính của tình trạng này xuất phát từ quá trình mất mô lợi do viêm nhiễm hoặc chấn thương do vệ sinh răng không đúng cách. Trong nhiều trường hợp, bạn có thể nhận biết qua cảm giác đau rát khi chải răng hoặc ăn đồ cay, chua, nóng lạnh. Đây là dấu hiệu rõ ràng cảnh báo lợi của bạn đang có nguy cơ tụt hoặc đã bị tụt.
Xem thêm: Tụt lợi có tự khỏi không? Cách chữa trị hiệu quả
Dấu hiệu chảy máu chân răng, hôi miệng, viêm lợi đi kèm
Ngoài cảm giác ê buốt, những biểu hiện thường thấy khác của tụt lợi còn bao gồm chảy máu chân răng khi đánh răng hoặc dùng chỉ nha khoa, hôi miệng ngày càng nặng và viêm lợi sưng đỏ, đau nhức. Đây là các dấu hiệu của sự viêm nhiễm tại mô lợi xung quanh chân răng, gây ra tình trạng tụt lợi không những về mặt thẩm mỹ mà còn ảnh hưởng đến sức khỏe tổng thể.
Hàm lượng vi khuẩn tích tụ trong mảng bám chính là nguyên nhân chủ yếu gây ra các triệu chứng này. Nếu không kiểm soát sớm, viêm nhiễm có thể lan rộng, phá hủy cấu trúc mô lợi, dẫn tới mất răng sau này. Vì vậy, việc nhận biết sớm các dấu hiệu này là cực kỳ quan trọng để tiến hành các bước xử lý phù hợp, hạn chế tổn thương nặng hơn.
Nguyên nhân gây tụt lợi thường gặp
Tụt lợi không xảy ra một cách tự nhiên mà thường do các tác nhân gây hại từ môi trường hoặc thói quen sinh hoạt hàng ngày của chúng ta. Hiểu rõ nguyên nhân giúp chúng ta có biện pháp phòng tránh hiệu quả và có chiến lược chăm sóc răng miệng phù hợp hơn.

Chải răng sai cách, dùng bàn chải cứng làm tổn thương lợi
Chải răng không đúng kỹ thuật hoặc sử dụng bàn chải cứng là một trong những nguyên nhân phổ biến gây ra tụt lợi. Nhiều người có thói quen chải răng mạnh, dùng lực quá lớn hoặc dùng bàn chải cứng để làm sạch răng, dẫn đến sự tổn thương lớp mô lợi mỏng manh. Các tổn thương này dần dần làm lợi bị co rút, tiêu biến, để lộ chân răng và gây nên các triệu chứng của tụt lợi.
Ngoài ra, chải răng không đều đặn hoặc bỏ qua việc thay bàn chải định kỳ cũng làm giảm hiệu quả vệ sinh, dẫn đến tích tụ mảng bám và vi khuẩn gây viêm nhiễm kéo dài. Đó là lý do tại sao việc lựa chọn bàn chải mềm, thao tác nhẹ nhàng, kỹ thuật chải đúng là nền tảng quan trọng để bảo vệ lợi khỏi tổn thương.
Xem thêm:Tụt lợi khi niềng răng do đâu? Nguyên nhân và cách chữa trị
Viêm nha chu, cao răng hoặc do thay đổi nội tiết tố
Các bệnh lý về lợi như viêm nha chu, cao răng tích tụ lâu ngày chính là nguyên nhân cơ bản dẫn đến tụt lợi. Viêm nha chu là tình trạng vi khuẩn tấn công mô lợi và xương ổ răng, gây ra sưng tấy, chảy máu và tổn thương mô lợi, khiến lợi dần tiêu biến. Tình trạng này kéo dài sẽ làm răng rụng hàng loạt nếu không được điều trị kịp thời.
Thêm vào đó, quá trình thay đổi nội tiết tố ở phụ nữ trong thai kỳ, tuổi dậy thì hoặc mãn kinh cũng làm yếu đi cấu trúc mô lợi, giảm khả năng chống chịu vi khuẩn, dẫn đến tụt lợi. Cao răng hình thành từ mảng bám không được làm sạch đúng cách sẽ tạo điều kiện thuận lợi cho vi khuẩn sinh sôi, gây viêm và rút lợi. Hiểu rõ các nguyên nhân này giúp chúng ta chủ động phòng ngừa bằng cách khám nha khoa định kỳ, vệ sinh đúng kỹ thuật và duy trì lối sống lành mạnh.
Cách điều trị và phòng ngừa tụt lợi
Thật may mắn, tụt lợi hoàn toàn có thể được điều chỉnh và phục hồi nếu phát hiện sớm và có phương pháp điều trị phù hợp. Ngoài ra, việc xây dựng thói quen chăm sóc tốt sẽ giúp ngăn ngừa tình trạng này tái phát trong tương lai, góp phần duy trì hàm răng khỏe mạnh, nụ cười rạng rỡ và niềm tin trong cuộc sống.

Cạo vôi răng, điều trị nha chu và ghép lợi trong trường hợp nặng
Các trường hợp tụt lợi do viêm nha chu hoặc cao răng tích tụ lâu ngày cần điều trị chuyên sâu để loại bỏ tác nhân gây bệnh. Việc cạo vôi răng định kỳ là bước đầu tiên nhằm loại bỏ mảng bám cứng chắc, giúp giảm viêm, giữ mô lợi ổn định. Đây là kỹ thuật đơn giản nhưng có ý nghĩa quyết định trong việc phục hồi lợi bị tụt.
Trong các trường hợp tụt lợi nặng, bác sĩ nha khoa có thể thực hiện các thủ thuật phẫu thuật như ghép lợi để tái tạo mô lợi đã mất. Phương pháp này giúp nâng cao khả năng bảo vệ chân răng, duy trì hình dạng mô lợi phù hợp, giảm nguy cơ tụt lợi tiếp tục xảy ra. Điều trị kịp thời sẽ giúp khôi phục chức năng của lợi, cải thiện thẩm mỹ và duy trì sức khỏe các mô nâng đỡ răng vĩnh viễn.
Xem thêm: Tác dụng của việc cạo vôi răng định kỳ
Vệ sinh răng miệng đúng cách và khám nha khoa định kỳ
Chìa khóa quan trọng để phòng ngừa tụt lợi là vệ sinh răng miệng đúng kỹ thuật và định kỳ kiểm tra nha khoa. Việc chải răng nhẹ nhàng, đúng chiều, lựa chọn bàn chải lông mềm, dùng kem đánh răng phù hợp giúp giảm áp lực và tổn thương trên lợi.
Đồng thời, khám nha khoa định kỳ 6 tháng/lần sẽ giúp phát hiện sớm các dấu hiệu bất thường, từ đó có biện pháp can thiệp kịp thời. Các phương pháp như lấy cao răng, điều trị viêm lợi và tư vấn chăm sóc răng miệng tại nhà sẽ góp phần giữ cho lợi luôn khỏe mạnh, tránh xa nguy cơ tụt lợi và các bệnh lý liên quan.
Xem thêm: Hướng dẫn vệ sinh răng miệng khi mang mắc cài chuẩn nhất
Tổng kết

Tụt lợi là vấn đề phổ biến nhưng có thể phòng ngừa và điều trị hiệu quả nếu chúng ta nhận biết rõ nguyên nhân cũng như xây dựng chế độ chăm sóc hợp lý. Việc duy trì thói quen vệ sinh răng miệng đúng cách, khám nha khoa định kỳ và tránh các tác nhân gây tổn thương lợi sẽ giúp giữ gìn sức khỏe răng miệng toàn diện. Đừng chủ quan với các triệu chứng ban đầu, vì chỉ cần các biện pháp can thiệp sớm sẽ mang lại kết quả tốt nhất và bảo vệ nụ cười của bạn trọn vẹn hơn bao giờ hết.
Hãy lựa chọn những đơn vị tiên tiến, sử dụng công nghệ nha khoa không đau để bảo vệ sức khỏe răng miệng của chính bạn một cách tốt nhất!
Cảm ơn bạn đã theo dõi bài viết này của phòng khám Nha khoa Hải Phòng DrGreen. Hy vọng qua đây, bạn đã biết các tiêu chí lựa chọn nha khoa uy tín, phù hợp với nhu cầu chăm sóc sức khỏe bản thân. Nếu các bạn đã bị thuyết phục, hãy liên hệ với Nha khoa DrGreen qua các kênh thông tin dưới đây!
HỆ THỐNG NHA KHOA DRGREEN
- Địa chỉ 1: 40B Lạch Tray, Ngô Quyền, Hải Phòng
- Địa chỉ 2: HDS11 Vinhomes Marina, Lê Chân, Hải Phòng
- Địa chỉ 3: 38 Tân Dương, Thủy Nguyên, Hải Phòng
- Địa chỉ 4: 43 Trần Phú, Cẩm Phả, Quảng Ninh
- Hotline: 0936.996.609
- Website: https://nhakhoadrgreen.vn/
- Fanpage: https://www.facebook.com/nhakhoadrgreen
- Email: nhakhoadrgreen@gmail.com












