Sưng nướu răng là một trong những tình trạng rất nhiều người mắc phải hiện nay. Trong đó, tới hơn 80% người bị mắc sưng nướu ở phần hàm trên. Người bị sẽ cảm thấy đau nhức, khó chịu ăn uống và vệ sinh răng miệng hàng ngày. Tuy nhiên, nhiều người nghĩ rằng bệnh này nhẹ và không điều trị. Lúc này nếu để lâu có thể gây ra những biến chứng nguy hiểm tới sức khỏe. Vậy đâu là những nguyên nhân gây ra sưng nướu răng hàm trên? Làm thế nào để điều trị? Hãy cùng Nha khoa DrGreen giải đáp trong bài viết này
Sưng nướu răng hàm trên là gì?
Tình trạng sưng nướu răng hàm trên hay được gọi là sưng lợi vùng hàm trên, là là một bệnh lý răng miệng tưởng chừng đơn giản. Tuy nhiên thực chất bệnh này tiềm ẩn nhiều yếu tố phức tạp. Tuy nhiên, một số người không được thăm khám và điều trị đúng phương pháp, kịp thời. Điều này có thể gây hậu quả nghiêm trọng cho răng mình sau này. Khi mô nướu bị tổn thương, hệ thống miễn dịch tại chỗ sẽ phản ứng lại với vi khuẩn. Đây chính là tác nhân chính gây viêm nướu răng
Quá trình viêm nhiễm này dẫn đến hàng loạt biểu hiện lâm sàng nguy hiểm. Ví dụ như sưng nề mô mềm, tấy đỏ, cảm giác đau nhức. Thậm chí trong một số trường hợp có thể xuất hiện mủ hoặc mùi hôi khó chịu. Những triệu chứng này không chỉ ảnh hưởng đến chức năng ăn nhai. Nó còn gây cản trở trong sinh hoạt hằng ngày. Từ đó làm giảm chất lượng cuộc sống của người bệnh.
Việc nhận biết sớm các dấu hiệu sưng nướu và đến cơ sở nha khoa rất quan trọng. Việc này để được chẩn đoán chính xác, điều trị triệt để tác nhân gây bệnh. Thông qua đó giúp cho bạn ngăn ngừa các biến chứng nguy hiểm hơn. Ví dụ như viêm nha chu, tiêu xương ổ răng, hay mất răng.

Dấu hiệu sưng nướu răng hàm trên là gì?
Biểu hiện tình trạng sưng nướu răng hàm trên tương tự như viêm nướu. Cụ thể chúng thường đi kèm với một số triệu chứng đặc trưng, dễ nhận biết. Việc nắm bắt sớm những dấu hiệu này rất quan trọng. Chúng sẽ là căn cứ giúp người bệnh chủ động hơn trong việc thăm khám và điều trị. Thông qua đó đó ngăn ngừa các biến chứng nguy hiểm có thể xảy ra.
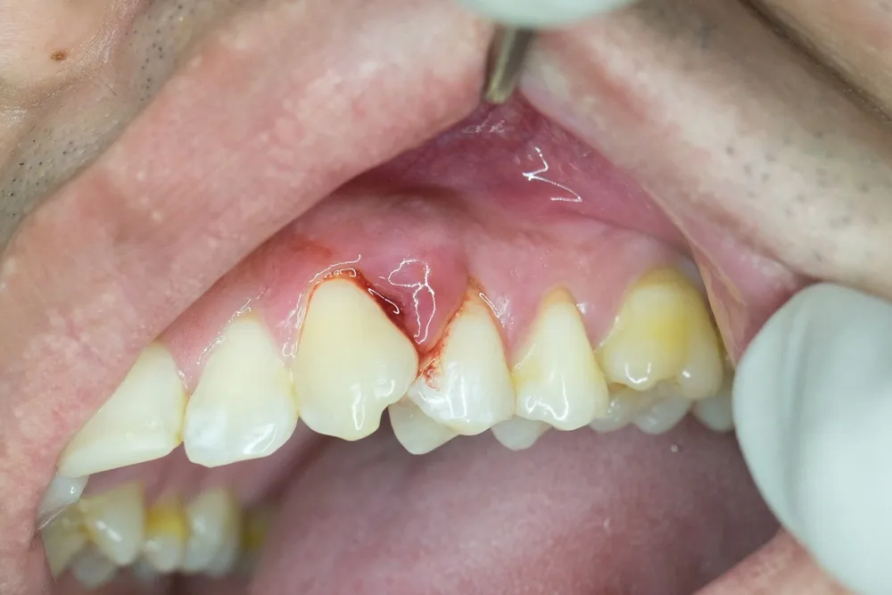
Cụ thể bệnh sưng nướu hàm trên có những biểu hiện sau
- Vùng nướu bị sưng thường chuyển sang màu đỏ tươi hoặc đỏ sẫm. Thay vì màu hồng nhạt như nướu khỏe mạnh.
- Người bệnh có thể cảm thấy đau rát, khó chịu, đặc biệt khi chạm nhẹ, ăn uống hoặc đánh răng.
- Nướu dễ bị chảy máu trong quá trình đánh răng, dùng chỉ nha khoa. Thậm chí bị ngay khi ăn các món cứng, cay, mặn.
- Nướu bị co rút do viêm, khiến phần chân răng lộ rõ. Thông qua đó làm răng trông dài bất thường và dễ ê buốt.
- Vùng nướu có thể xuất hiện ổ mủ, gây sưng lớn. Đồng thời gây đau nhức dữ dội và kèm theo mùi hôi miệng khó chịu.
- Viêm nướu kéo dài khiến nướu tách rời khỏi răng, tạo khe hở nơi vi khuẩn dễ tích tụ. Từ đó làm gia tăng nguy cơ viêm nha chu và mất răng nếu không được điều trị kịp thời.

Nguyên nhân gây ra hiện tượng sưng nướu răng hàm trên
Vệ sinh răng miệng sai cách
Trong quá trình ăn uống, thức ăn dễ bị giắt lại tại các kẽ răng. Điều này đặc biệt ở vùng răng hàm trên – nơi khó quan sát và làm sạch. Tuy nhiên một số người chải răng không đúng kỹ thuật hoặc không sử dụng chỉ nha khoa. Lúc này các mảng bám thực phẩm sẽ tích tụ và lên men. Đây sẽ trở thành môi trường thuận lợi cho vi khuẩn sinh sôi. Vi khuẩn trong mảng bám sẽ sản sinh độc tố gây kích ứng mô nướu. Thông qua đó dẫn đến tình trạng viêm và sưng nướu răng hàm trên
Viêm nướu và viêm nha chu
Một trong những nguyên nhân chính gây sưng nướu răng hàm trên là sự tích tụ của cao răng. Cao răng là lớp mảng bám đã bị khoáng hoá và rất cứng. Vì thế chúng không thể làm sạch bằng cách đánh răng thông thường. Nếu không được loại bỏ, cao răng sẽ tiếp tục làm tổn thương mô nướu. Sau đó theo thời gian để lâu vi khuẩn sẽ dẫn đến viêm nha chu. Đây là giai đoạn tiến triển nặng hơn, ảnh hưởng đến cấu trúc nâng đỡ răng. Hậu quả có thể bao gồm tụt nướu, tiêu xương ổ răng. Thậm chí làm răng lung lay và gây mất răng vĩnh viễn.

Sâu răng hàm trên
Răng hàm trên thường nằm ở vị trí phía trong cùng của cung hàm. Loại răng này có hình thể phức tạp với nhiều rãnh và hố răng. Thông qua đó khiến việc làm sạch trở nên khó khăn hơn. Khi răng hàm bị sâu, vi khuẩn tại vị trí tổn thương có thể lan rộng. Sau đó vi khuẩn tấn công sang các mô nướu xung quanh. Từ đó gây ra phản ứng viêm như sưng nướu răng hàm trên. Ngoài ra, sâu răng nếu không điều trị kịp thời còn có thể dẫn đến viêm tuỷ. Tệ hơn nếu để lâu sẽ là áp xe quanh chóp răng.
Mọc răng khôn (răng số 8)
Răng khôn thường bắt đầu mọc trong độ tuổi từ 18 đến 25. Đây là giai đoạn các răng vĩnh viễn khác đã ổn định vị trí. Do cung hàm thường không đủ khoảng trống, răng khôn có xu hướng mọc lệch. Thậm chí răng mọc ngầm hoặc chỉ nhú một phần ra khỏi nướu, tạo thành một túi nướu che phủ. Tình trạng này gây ứ đọng thức ăn và vi khuẩn. Từ đó dẫn đến viêm nướu quanh thân răng, gây sưng đau, chảy máu nướu. Thậm chí trong một số trường hợp có thể hình thành khối mủ nhiễm trùng.

Cách trị sưng nướu răng hàm trên tạm thời tại nhà
Súc miệng bằng nước muối sinh lý
Súc miệng bằng nước muối sinh lý (NaCl 0,9%) là một trong những phương pháp hỗ trợ truyền thống. Phương pháp này được các chuyên gia nha khoa khuyến nghị sử dụng. Thông qua đó làm sạch và kiểm soát vi khuẩn gây sưng nướu răng hàm trên. Nước muối sinh lý có tính thẩm thấu nhẹ, giúp làm dịu mô mềm bị kích ứng. Đồng thời giảm hiện tượng sưng tấy và hỗ trợ làm sạch mảng bám thức ăn. Đặc biệt là ở các vùng khó tiếp cận như kẽ răng và mặt xa răng hàm trên. Đây nơi thường tích tụ vi khuẩn gây hại.
Tuy nhiên, người bệnh cần đặc biệt lưu ý pha đúng tỷ lệ để súc miệng. Đặc biệt trong trường hợp sử dụng nước muối tự pha tại nhà. Thông thường là 1 thìa cà phê muối trong 250 ml nước ấm. Việc này nhằm tránh tình trạng dung dịch quá mặn có thể gây kích ứng niêm mạc miệng. Từ đó làm khô môi trường miệng và ảnh hưởng đến sức khỏe mô mềm.

Uống trà thảo dược có tính kháng viêm
Một số loại trà thảo mộc tự nhiên như trà gừng và trà hoa cúc cũng là giải pháp hữu hiệu. Giải pháp này đã được nghiên cứu và ứng dụng rộng rãi trong ngành nha khoa. Tất cả nhờ tác dụng chống viêm, giảm đau và hỗ trợ miễn dịch. Điều này đặc biệt phù hợp trong chăm sóc răng miệng khi bị sưng nướu răng hàm trên. Điều này thể hiện qua những nghiên cứu sau
- Trà gừng: Chứa các hoạt chất sinh học như gingerol và shogaol. Chúng có khả năng ức chế quá trình viêm, tăng tuần hoàn máu cục bộ và giảm đau hiệu quả. Ngoài ra, tính ấm của gừng còn giúp làm dịu mô nướu đang bị kích thích.
- Trà hoa cúc: Giàu flavonoid và apigenin. Đây là hợp chất có tác dụng kháng viêm, chống dị ứng và làm dịu mô nướu viêm. Trà hoa cúc cũng thường được sử dụng để giảm căng thẳng, gián tiếp hỗ trợ hệ miễn dịch.
Cách sử dụng:
- Uống 2–3 lần/ngày, có thể dùng khi còn ấm để phát huy hiệu quả tốt nhất.
- Có thể dùng trà túi lọc hoặc pha từ nguyên liệu tươi. Đảm bảo không thêm đường hoặc chất tạo ngọt nhân tạo.
- Đối với tình trạng sưng cục bộ, có thể để nguội trà. Dùng như nước súc miệng hoặc chườm nhẹ ngoài má vùng nướu sưng.

Sử dụng mật ong nguyên chất
Mật ong là một nguyên liệu tự nhiên có đặc tính kháng khuẩn mạnh mẽ. Điều này là do trong mật ong có chứa hydrogen peroxide tự nhiên. Đồng thời mật ong cũng có khả năng dưỡng ẩm và làm lành vết thương. Tất cả là nhờ thành phần enzym và chất chống oxy hóa phong phú. Trong nha khoa, mật ong thường được sử dụng hỗ trợ điều trị các tổn thương. Trong đó bao gồm tổn thương như viêm loét, nhiệt miệng và sưng nướu răng hàm trên ở mức nhẹ
Cách thực hiện:
- Pha loãng mật ong nguyên chất với một lượng nhỏ nước ấm để giảm độ đậm đặc.
- Dùng tăm bông hoặc ngón tay sạch chấm một lượng nhỏ. Nhẹ nhàng thoa trực tiếp lên vùng nướu bị sưng.
- Giữ nguyên trong 10–15 phút rồi súc miệng nhẹ lại với nước ấm.
Lưu ý:
- Sử dụng mật ong nguyên chất, chưa qua chế biến công nghiệp. Thông qua đó đảm bảo giữ được tối đa đặc tính sinh học có lợi.
- Không nên lạm dụng nhiều lần trong ngày để tránh kích thích vùng mô mềm.
- Không áp dụng cho trẻ nhỏ dưới 1 tuổi. Điều này do nguy cơ ngộ độc Clostridium botulinum có trong mật ong thô.

Điều chỉnh thói quen chăm sóc răng miệng
Việc xây dựng và duy trì một thói quen vệ sinh răng miệng khoa học rất trọng. Đây là yếu tố cốt lõi trong việc kiểm soát tình trạng viêm nướu và phòng ngừa tái phát. Đặc biệt, trong giai đoạn sưng nướu răng hàm trên, người bệnh cần lưu ý thực hiện các thao tác chăm sóc răng miệng một cách nhẹ nhàng. Thông qua đó không làm tổn thương thêm vùng mô nướu đang viêm.
Khuyến nghị chuyên môn:
- Chải răng tối thiểu 2 lần mỗi ngày. Thực hiện vào buổi sáng sau khi ngủ dậy và buổi tối trước khi đi ngủ.
- Sử dụng bàn chải lông mềm hoặc bàn chải dành cho người có nướu nhạy cảm. Từ đó tránh gây trầy xước mô nướu.
- Không chải răng quá mạnh hoặc theo chiều ngang. Thay vào đó nên sử dụng kỹ thuật chải răng Bass hoặc vòng tròn nhỏ. Đồng thời theo góc 45 độ tại đường viền nướu.
- Thay bàn chải định kỳ 3 tháng/lần, hoặc sớm hơn. Đặc biệt khi lông bàn chải có dấu hiệu bị tưa hoặc biến dạng.
- Sử dụng kem đánh răng dịu nhẹ, chứa thành phần kháng viêm. Ví dụ như fluoride, tự nhiên và không chứa hạt làm trắng mài mòn.
- Dùng nước súc miệng không chứa cồn. Có thể lựa chọn sản phẩm chứa chlorhexidine, cetylpyridinium chloride. Ngoài ra là cần có các chiết xuất thảo dược giúp kiểm soát mảng bám và vi khuẩn. Đồng thời không gây khô hoặc kích ứng niêm mạc miệng.
- Chỉ nha khoa nên được sử dụng hàng ngày, đặc biệt sau các bữa ăn. Từ đó làm sạch các kẽ răng mà bàn chải không thể tiếp cận được.

Chế độ ăn uống khoa học
Một chế độ ăn hợp lý không chỉ hỗ trợ sức khỏe toàn thân. Nó còn đóng vai trò quan trọng trong việc kiểm soát tình trạng viêm nướu. Dinh dưỡng là yếu tố ảnh hưởng trực tiếp đến khả năng miễn dịch. Cùng với tốc độ lành thương của mô nướu khi bị sưng nướu răng hàm trên
Các khuyến nghị bao gồm:
- Hạn chế thực phẩm giàu đường và tinh bột tinh chế. Các loại thực phẩm này là nguồn dinh dưỡng dồi dào cho vi khuẩn phát triển. Từ đó gây mảng bám và viêm nướu.
- Tránh thực phẩm có cấu trúc sắc nhọn hoặc dễ mắc kẹt vào kẽ răng. Ví dụ như khoai tây chiên, bỏng ngô, các loại hạt có vỏ cứng. Chúng có thể gây tổn thương cơ học cho mô nướu đang viêm. Từ đó làm trầm trọng thêm tình trạng sưng đau.
- Tăng cường thực phẩm giàu vitamin C và chất chống oxy hóa. Ví dụ như trái cây tươi rau xanh đậm. Chúng tăng cường sức đề kháng và hỗ trợ tái tạo mô nướu tổn thương.
- Uống đủ nước để duy trì độ ẩm khoang miệng, tăng tiết nước bọt. Đây là yếu tố giúp trung hòa acid và làm sạch khoang miệng.
- Tuyệt đối tránh sử dụng thuốc lá và rượu bia. Các chất này không chỉ làm giảm khả năng lành thương mà còn làm khô niêm mạc miệng. Từ đó suy yếu hệ miễn dịch và thúc đẩy tiến triển của bệnh viêm nướu, viêm nha chu.
- Không sử dụng nước súc miệng có cồn trong giai đoạn điều trị. Cồn có thể làm mất độ ẩm niêm mạc, gây cảm giác kích ứng

Cách chữa trị sưng nướu răng hàm trên dứt điểm tại nha khoa
Cạo vôi răng
Một số trường hợp sưng nướu răng hàm trên do mảng bám và cao răng tích tụ lâu ngày. Lúc này bác sĩ sẽ chỉ định cạo vôi răng. Đây là thủ thuật nha khoa cơ bản sử dụng các dụng cụ chuyên dụng. Ví dụ như máy siêu âm cạo vôi và dụng cụ cầm tay. Thông qua đó sẽ làm sạch toàn bộ bề mặt răng, đặc biệt là vùng khó tiếp cận như kẽ răng và dưới nướu. Việc loại bỏ mảng bám và cao răng không chỉ giúp giảm tình trạng viêm nướu. Nó còn ngăn ngừa các bệnh lý răng miệng nghiêm trọng hơn

Sử dụng thuốc điều trị
Một số trường hợp sưng nướu răng hàm trên do bệnh lý như viêm nha chu. Ngoài ra là mắc các bệnh áp xe răng hoặc nhiễm trùng mô quanh răng. Lúc này bác sĩ sẽ kê đơn thuốc kiểm soát triệu chứng và hỗ trợ quá trình điều trị. Trong đó bao gồm:
- Thuốc giảm đau: Giúp bệnh nhân cảm thấy dễ chịu. Đồng thời giảm cảm giác đau nhức, ê buốt.
- Thuốc kháng viêm: Hạn chế tình trạng viêm sưng lan rộng. Từ đó hỗ trợ phục hồi mô nướu.
- Thuốc kháng sinh: Bác sĩ sẽ chỉ định dùng kháng sinh đường uống hoặc tiêm tĩnh mạch. Thông qua đó kiểm soát vi khuẩn và ngăn ngừa biến chứng toàn thân.
Điều trị sâu răng
Hầu hết nguyên nhân gây sưng nướu răng hàm trên là do sâu răng. Trong trường hợp này bác sĩ sẽ tiến hành kiểm tra mức độ tổn thương. Trường hợp sâu răng ở mức nhẹ thì nó sẽ chưa ảnh hưởng đến tủy răng. Khi đó bác sĩ sẽ loại bỏ phần mô răng bị sâu và tiến hành trám răng. Việc trám răng sẽ bằng vật liệu chuyên dụng như composite hoặc amalgam. Thông qua đó phục hồi hình dạng và chức năng của răng. Đồng thời ngăn chặn sự phát triển của vi khuẩn gây viêm.

Nhổ răng khôn
Trong một số trường hợp, sưng nướu răng hàm trên trong cùng (thường ở răng số 8) là do mọc răng khôn. Điều này đặc biệt là khi răng khôn mọc lệch, mọc ngầm hoặc không có đủ chỗ để phát triển. Những răng này dễ gây viêm lợi trùm, nhiễm trùng mô mềm. Thậm chí sẽ hình thành áp xe quanh thân răng. Một số răng khôn ảnh hưởng đến các răng kế cận hoặc cấu trúc xương hàm. Lúc này bác sĩ sẽ chỉ định nhổ bỏ răng khôn để loại bỏ triệt để nguyên nhân gây viêm. Thông qua đó ngăn ngừa các biến chứng lâu dài.
Cách phòng ngừa sưng nướu răng hàm trên hiệu quả
Để hạn chế sưng nướu răng hàm trên bạn nên tuân thủ theo các cách dưới đây:
- Đánh răng từ 2–3 lần mỗi ngày: Thực hiện sau các bữa ăn. Từ đó loại bỏ mảng bám và cặn thức ăn. Đồng thời giúp giảm nguy cơ sâu răng và viêm nướu.
- Sử dụng chỉ nha khoa hàng ngày: Hỗ trợ làm sạch kẽ răng. Đây là khu vực mà bàn chải thông thường không thể tiếp cận. Chỉ nha khoa sẽ giúp ngăn ngừa hình thành cao răng và vi khuẩn gây hại.
- Chọn bàn chải phù hợp: Nên sử dụng bàn chải có lông mềm, đầu tròn. Thông qua đó tránh tổn thương nướu và men răng. Thay bàn chải định kỳ mỗi 2–3 tháng.
- Hạn chế sản phẩm chứa đường và cồn: Tránh sử dụng nước súc miệng và thức uống có hàm lượng đường cao hoặc chứa cồn. Chúng có thể gây khô miệng và kích ứng lợi.
- Khám răng định kỳ 6 tháng/lần: Đến nha khoa để lấy cao răng, kiểm tra răng miệng. Đồng thời phát hiện sớm các bệnh lý như viêm nướu, sâu răng, viêm nha chu,…

Xem thêm:
Trên đây là những điều cần biết về hiện tượng sưng nướu răng hàm trên. Cùng với đó là cách điều trị hiệu quả và cách phòng ngừa tái phát sau này. Để được tư vấn cụ thể, hãy liên hệ Nha khoa DrGreen theo thông tin bên dưới
Hotline: 0936.996.609
Fanpage: https://www.facebook.com/nhakhoadrgreen
Website: nhakhoadrgreen.vn
Hệ thống Nha khoa Dr Green:
- 40B Lạch Tray, Ngô Quyền, Hải Phòng
- HDS11 Vinhomes Marina, Lê Chân, Hải Phòng
- 38 Tân Dương, Thủy Nguyên, Hải Phòng
- 43 Trần Phú, Cẩm Phả, Quảng Ninh












