4.7/5 - (497 bình chọn)

Hiện nay, hiện tượng răng trẻ nhỏ bị vàng đang xảy ra phổ biến ở nhiều độ tuổi. Thậm chí hiện tượng này còn xuất hiện sớm ở những bé mới chỉ 15 tháng tuổi. Nếu không được điều trị kịp thời thì có thể nó ảnh hưởng đến thẩm mỹ sau này. Ngoài ra nó cũng sẽ tác động đến cấu trúc răng miệng khi phát triển sau này. Vậy hiện tượng trẻ 15 tháng tuổi bị vàng răng xảy ra do đâu? Điều trị như thế nào? Hãy cùng Nha khoa DrGreen giải đáp chi tiết trong bài viết này

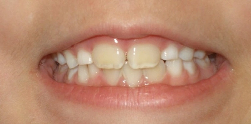
Trẻ 15 tháng tuổi bị vàng răng có ảnh hưởng không?

Việc trẻ 15 tháng tuổi bị vàng răng sẽ không chỉ ảnh hưởng đến thẩm mỹ. Từ đó khiến nụ cười của trẻ trở nên kém xinh xắn. Nó còn có thể gây ra những tác động lâu dài đến sức khỏe răng miệng. Thông thường trẻ ở độ tuổi nhỏ có thể chưa nhận thức đầy đủ về ngoại hình. Tuy nhiên việc cha mẹ chăm sóc răng miệng cho trẻ từ khi còn nhỏ là vô cùng quan trọng.

Ngoài ra răng bị ố vàng còn có thể là dấu hiệu của vấn đề răng miệng nghiêm trọng. Một trong những nguyên nhân dẫn đến tình trạng này là sự tích tụ mảng bám lâu ngày. Điều này xảy ra do vệ sinh răng miệng không đúng cách. Mảng bám này là môi trường lý tưởng cho vi khuẩn phát triển. Theo thời gian nó sẽ gây ra các bệnh lý như sâu răng, viêm lợi. Thậm chí có thể gây nhiễm trùng nướu nếu không được chăm sóc kịp thời.

Nhiều bậc phụ huynh cho rằng răng sữa chỉ là răng tạm thời. Nó sẽ được thay thế sau này, do đó không cần thiết phải chăm sóc kỹ lưỡng. Tuy nhiên, đây là một quan niệm sai lầm. Răng sữa không chỉ đóng vai trò quan trọng trong việc ăn nhai và phát âm. Nó còn có ảnh hưởng trực tiếp đến sự phát triển của các răng vĩnh viễn sau này. Nếu không được chăm sóc đúng cách, các vấn đề răng miệng có thể ảnh hưởng đến sự phát triển. Từ đó dẫn đến nguy cơ mắc bệnh răng miệng nghiêm trọng khi trẻ lớn lên.

Trẻ 15 tháng tuổi bị vàng răng có ảnh hưởng không?

Nguyên nhân khiến trẻ 15 tháng tuổi bị vàng răng

Di truyền sang trẻ từ bà mẹ khi mang thai

Trong suốt thời kỳ mang thai, tình trạng vàng răng của người mẹ có thể ảnh hưởng đến sự phát triển răng miệng của thai nhi. Một số người mẹ gặp phải vấn đề về vàng răng. Lúc này trẻ sinh ra cũng có nguy cơ mắc phải tình trạng tương tự là khá cao. Ngoài ra, một số người mẹ phải điều trị  bệnh nhiễm trùng như nhiễm trùng đường tiết niệu. Lúc này mẹ phải sử dụng các loại thuốc chứa tetracycline. Theo thời gian sẽ khiến nguy cơ trẻ 15 tháng tuổi bị vàng răng sẽ tăng lên.

Tetracycline là một loại kháng sinh có tác động đến sự hình thành men răng  thai nhi. Việc sử dụng thuốc này trong thời kỳ mang thai có thể gây ảnh hưởng nghiêm trọng đến răng. Đặc biệt là đến độ chắc khỏe và màu sắc men răng của trẻ sau khi sinh. Mức độ ảnh hưởng của tetracycline phụ thuộc vào liều lượng thuốc mà người mẹ sử dụng. Cùng với đó là mức độ nghiêm trọng của bệnh lý mà mẹ gặp phải. Từ đó, mức độ vàng răng của trẻ có thể dao động. Thông thường có thể nhẹ hoặc nghiêm trọng tùy thuộc yếu tố này.

Di truyền sang trẻ từ bà mẹ khi mang thai

Răng trẻ 15 tháng tuổi có thể bị nhiễm Flour

Một nguyên nhân khác dẫn đến việc trẻ 15 tháng tuổi bị vàng răngnhiễm fluor. Thông thường fluor có tác dụng tốt trong việc tăng độ chắc khỏe cho răng và phòng ngừa sâu răng. Tuy nhiên, fluor được sử dụng quá mức, nó có thể gây ra hiện tượng đổi màu răng. Từ đó làm cho răng trở nên ố vàng hoặc bị vết ố trắng. Khi lượng fluor dư thừa tích tụ trên bề mặt men răng, chúng có thể tạo ra mảng bám. Theo thòi gian khiến cho việc làm sạch răng trở nên khó khăn hơn. Từ đó góp phần làm tăng sự hình thành của các vết ố.

Fluor thường có mặt trong các loại kem đánh răng. Vì thế sử dụng kem đánh răng chứa cho trẻ em cần được chú ý kỹ lưỡng. Cha mẹ nên tìm hiểu kỹ các loại kem đánh răng dành riêng cho trẻ em. Đồng thời lựa chọn sản phẩm có hàm lượng fluor phù hợp. Không nên sử dụng kem đánh răng của người lớn cho trẻ em. Hàm lượng fluor trong các sản phẩm có thể quá cao và không an toàn cho trẻ.

Răng trẻ 15 tháng tuổi có thể bị nhiễm Flour

Răng trẻ 15 tháng tuổi bị ố vàng do sâu răng

Một trong những nguyên nhân hàng đầu khiến răng trẻ bị ố vàng là do sâu răng. Khi thức ăn thừa không được làm sạch, các mảng bám tồn đọng lâu ngày trong khoang miệng. Theo thời gian chúng sẽ tạo môi trường thuận lợi cho vi khuẩn phát triển. Những vi khuẩn này sản sinh axit làm mòn men răng, dẫn đến tình trạng sún răng và mất khoáng.

Ban đầu, trên bề mặt răng của trẻ sẽ xuất hiện những đốm đen nhỏ li ti. Sau đó lan rộng khiến răng trở nên xỉn màu, mất đi độ trắng sáng tự nhiên. Nếu không được điều trị kịp thời, sâu răng có thể gây viêm lợi, sưng nướu. Thậm chí làm tổn thương cấu trúc răng, ảnh hưởng đến sự phát triển răng vĩnh viễn sau này.

Răng trẻ 15 tháng tuổi bị ố vàng do sâu răng

Thói quen vệ sinh răng miệng cho trẻ kém

Trẻ nhỏ thường chưa ý thức được tầm quan trọng của việc chăm sóc răng miệng hàng ngày. Khi trẻ không chịu đánh răng hoặc vệ sinh răng miệng không đúng cách, các mảng bám và vi khuẩn có hại tích tụ dần trên bề mặt răng. Từ đó dẫn đến tình trạng trẻ 15 tháng tuổi bị vàng răng. Dần dần sẽ có thể đổi màu răng và tăng nguy cơ sâu răng.

Bên cạnh đó, nhiều cha mẹ không thường xuyên hướng dẫn trẻ đánh răng đúng cách. Theo thời gian tình trạng này sẽ kéo dài, khiến men răng suy yếu. Thậm chí nó sẽ làm răng trẻ ngày càng xỉn màu hơn. Việc duy trì thói quen vệ sinh răng miệng đúng cách ngay từ sớm là yếu tố quan trọng. Từ đó bảo vệ răng miệng và giúp trẻ có hàm răng trắng sáng, chắc khỏe.

Sử dụng bình sữa trong thời gian dài

Việc trẻ bú bình trong thời gian dài, đặc biệt là trước khi ngủ, có thể là nguyên nhân chính gây ra tình trạng trẻ 15 tháng tuổi bị vàng răng. Khi trẻ bú, sữa và các chất dinh dưỡng khác bám lại trên bề mặt răng và nướu. Theo thời gian chúng sẽ tạo điều kiện thuận lợi cho vi khuẩn phát triển. Những vi khuẩn này sẽ phân hủy đường có trong sữa. Từ đó tạo ra axit tấn công men răng, khiến răng bị mất khoáng. Thậm chí xỉn màu và dễ bị sâu răng.

Ngoài ra, việc bú bình liên tục còn có thể làm giảm quá trình tiết nước bọt. Nước bọt đóng vai trò quan trọng trong việc trung hòa axit. Từ đó rửa trôi mảng bám và bảo vệ răng khỏi vi khuẩn gây hại. Khi lượng nước bọt bị suy giảm, răng trẻ dễ bị tổn thương hơn. Theo thời gian sẽ làm tăng nguy cơ sâu răng và ố vàng. Để hạn chế tình trạng này, cha mẹ nên tập cho trẻ thói quen uống nước sau khi bú sữa. Đồng thời vệ sinh răng miệng đúng cách ngay từ sớm.

Sử dụng bình sữa trong thời gian dài

Bẩm sinh khiến trẻ giảm sinh men răng

Một số trẻ có thể gặp phải tình trạng giảm sinh men răng bẩm sinh. Điều này sẽ khiến răng có màu vàng hoặc sạm ngay từ khi mới mọc. Nguyên nhân có thể đến từ yếu tố di truyền khi trẻ thừa hưởng từ cha mẹ. Đặc biệt là các đặc điểm men răng yếu từ bố mẹ. Hoặc do thiếu hụt canxi và fluor trong quá trình mang thai.

Men răng có chức năng bảo vệ lớp ngà bên trong răng. Khi men răng bị thiếu hụt hoặc kém phát triển, răng sẽ trở nên dễ bị tổn thương. Thậm chí khiến răng nhạy cảm và đổi màu nhanh hơn. Trẻ có men răng yếu cũng có nguy cơ cao hơn bị sâu răng, sún răng và viêm nướu. Để hạn chế ảnh hưởng của tình trạng này, cha mẹ nên tham khảo ý kiến nha sĩ. Từ đó có biện pháp bổ sung canxi, fluor hợp lý và hướng dẫn trẻ vệ sinh răng miệng đúng cách. Thông qua đó bảo vệ sức khỏe răng miệng lâu dài.

Cách điều trị và phòng ngừa trẻ 15 tháng tuổi bị vàng răng

Vệ sinh răng miệng cho trẻ đúng cách

Việc duy trì thói quen vệ sinh răng miệng khoa học ngay từ nhỏ là yếu tố quan trọng. Thông qua đó giúp bảo vệ răng trẻ khỏi tình trạng trẻ 15 tháng tuổi bị vàng răng. Cùng với đó là các bệnh lý nha khoa.

  • Sử dụng bàn chải lông mềm phù hợp với trẻ để tránh làm tổn thương nướu. Kết hợp với kem đánh răng dành riêng cho trẻ em có chứa hàm lượng fluoride phù hợp. Từ đó giúp loại bỏ mảng bám, ngăn ngừa sâu răng. Đồng thời hạn chế sự hình thành vết ố vàng trên răng.
  • Chải răng ít nhất 2 lần mỗi ngày để giữ cho răng miệng luôn sạch sẽ. Thực hiện vào buổi sáng sau khi thức dậy và buổi tối trước khi đi ngủ.
  • Cha mẹ nên dùng khăn ướt hoặc gạc sạch để lau nhẹ nhàng răng. Cùng với đó là nướu và lưỡi sau mỗi bữa ăn. Điều này giúp loại bỏ cặn thức ăn còn sót lại, hạn chế vi khuẩn phát triển. Từ đó giảm nguy cơ hình thành mảng bám và vết ố vàng trên răng.

Vệ sinh răng miệng cho trẻ đúng cách

Điều chỉnh chế độ ăn uống phù hợp

Dinh dưỡng đóng vai trò quan trọng trong việc duy trì sức khỏe răng miệng và ngăn ngừa tình trạng răng xỉn màu ở trẻ.

  • Hạn chế cho trẻ tiêu thụ thực phẩm chứa nhiều đường, đồ uống có gas. Cùng với đó nước ép trái cây có tính axit cao hoặc thực phẩm chế biến sẵn. Những loại thực phẩm này có thể làm hỏng men răng. Từ đó tạo điều kiện cho vi khuẩn phát triển và gây ố vàng răng.
  • Khuyến khích trẻ ăn nhiều rau xanh và trái cây tươi như táo, lê, cà rốt… Chúng không chỉ giàu vitamin mà còn có tác dụng làm sạch răng tự nhiên. Thông qua đó giúp duy trì men răng chắc khỏe.
  • Đảm bảo trẻ uống đủ nước, đặc biệt là nước lọc. Từ đó hỗ trợ làm sạch khoang miệng và giảm thiểu mảng bám trên răng.

Bổ sung đầy đủ vitamin và khoáng chất

Các khoáng chất quan trọng như canxi và vitamin D đóng vai trò thiết yếu trong việc giúp răng phát triển khỏe mạnh, hạn chế nguy cơ trẻ 15 tháng tuổi bị vàng răng và sâu răng:

  • Canxi có thể được bổ sung thông qua các thực phẩm. Ví dụ như sữa, phô mai, sữa chua, hải sản, rau xanh. Hoặc các chế phẩm bổ sung theo hướng dẫn của bác sĩ.
  • Vitamin D hỗ trợ canxi hiệu quả, giúp răng và xương phát triển chắc khỏe. Trẻ có thể nhận đủ vitamin D thông qua tắm nắng buổi sáng. Hoặc từ các thực phẩm như cá hồi, lòng đỏ trứng, nấm.

Bổ sung đầy đủ vitamin và khoáng chất

Đưa trẻ đi khám nha khoa định kỳ

Đưa trẻ đi kiểm tra răng miệng định kỳ ít nhất 6 tháng/lần. Thông qua đó kịp thời phát hiện và xử lý các vấn đề về răng miệng. Việc khám nha khoa sớm giúp kiểm soát tình trạng men răng. Đồng thời điều chỉnh thói quen chăm sóc răng miệng phù hợp. Từ đó ngăn ngừa các bệnh lý như sâu răng, viêm lợi hay răng ố vàng. Ngoài ra, nha sĩ có thể thực hiện các biện pháp vệ sinh chuyên sâu. Ví dụ như cạo vôi răng, bôi fluoride để tăng cường bảo vệ men răng. Tất cả giúp trẻ có hàm răng trắng sáng và khỏe mạnh lâu dài.

Xem thêm:

Trên đây là những điều cần biết về hiện tượng trẻ 15 tháng tuổi bị vàng răng. Cùng với đó là cách điều trị và phòng ngừa hiệu quả bệnh này. Để được tư vấn cụ thể, hãy liên hệ Nha khoa DrGreen theo thông tin bên dưới

Hotline: 0936.996.609

Fanpage: https://www.facebook.com/nhakhoadrgreen

Website: nhakhoadrgreen.vn

Hệ thống Nha khoa Dr Green:

  1. 40B Lạch Tray, Ngô Quyền, Hải Phòng
  2. HDS11 Vinhomes Marina, Lê Chân, Hải Phòng
  3. 38 Tân Dương, Thủy Nguyên, Hải Phòng
  4. 43 Trần Phú, Cẩm Phả, Quảng Ninh